審美歯科

Aesthetic Dentistry

歯科治療に「美しさ」という
価値を

歯に詰め物をする、被せ物をする。そんな従来の歯科治療にプラスの価値を与える審美歯科は、機能性だけでなく、見た目の美しさや自然さを追求した修復および補綴治療です。

患者様ひとりひとりのお顔か違うように、歯にも実に様々な個性があります。審美歯科治療は、その人に合ったデザイン・色・噛み合わせに、患者様の希望もふまえて生体と調和する歯を作り上げていくものだと考えています。

そのために、当院では最先端の材料・最高の技工技術を提供してまいりますので、安心してご相談ください。

あなたらしい、つい笑顔になる口元を手に入れましょう。

目指すのは
生体と調和する美しさ

当院では、ひとりひとりの歯の形や色、質感を丁寧に分析し、オーダーメイドで修復物を作製いたします。
周囲の歯との色合わせを入念に行うことで、口元に調和する美しい仕上がりを実現します。

修復治療

修復治療

型取りをして作製する歯の部分的な詰め物の治療です。精密な詰め物をすることで、失われた歯の強度を補う役割があります。

メリット

  • 透け感があり、自然な仕上がり
  • 汚れが付きにくい

デメリット

  • 強い力で割れることがある
  • 保険適応外で費用がかかる
治療期間
1ヶ月程 術後観察が半年〜1年必要
治療回数
約4回
料金(税別)
100,000円~150,000円/本
同一術野2本目以降+20,000円/本
補綴治療

補綴治療

補綴治療は、歯全体を被せ物で覆って歯の形態と機能を回復する治療法です。見た目の回復だけでなく、虫歯などで大部分を失った歯の強度を補う役割があります。

被せ物の適合精度は歯の長持ちのために最も重要な要素です。

当院では、オーダーメイドのトレーを用いたシリコンによる精密印象(型取り)を採用しており、ミクロン単位での精密な被せ物を作製しております。

メリット

  • 優れた色調再現性
  • 汚れが付きにくい
  • フルジルコニアはブリッジや高い強度が必要な部位に最適

デメリット

  • 保険適用外で費用がかかる
治療期間
2〜4週間
治療回数
約3回
料金(税別)
130,000~180,000円/本
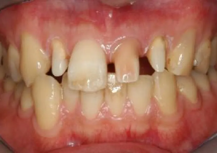
  • 治療前

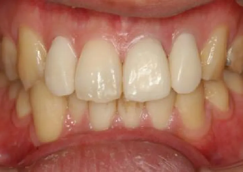
  • 治療後

ガムピーリング

ガムピーリング

メラニン色素の沈着で黒く変色した歯茎を健康的なピンク色に改善する治療です。

歯茎に専用の薬剤を塗布し、変色部を取り除くことで本来の美しい色を取り戻します。

メリット

  • 一回15分ほどの処置でチェアタイムが短い
  • 術後数日で効果が実感できる
  • ほとんど痛みは感じない

デメリット

  • 術直後はひりつきを感じることがある
  • 術後数日は白く皮が剥がれるような状態になる
  • 変色の濃さや範囲によっては処置を数回くり返す必要がある
治療期間
1週間程度
治療回数
1回
料金(税別)
10,000円
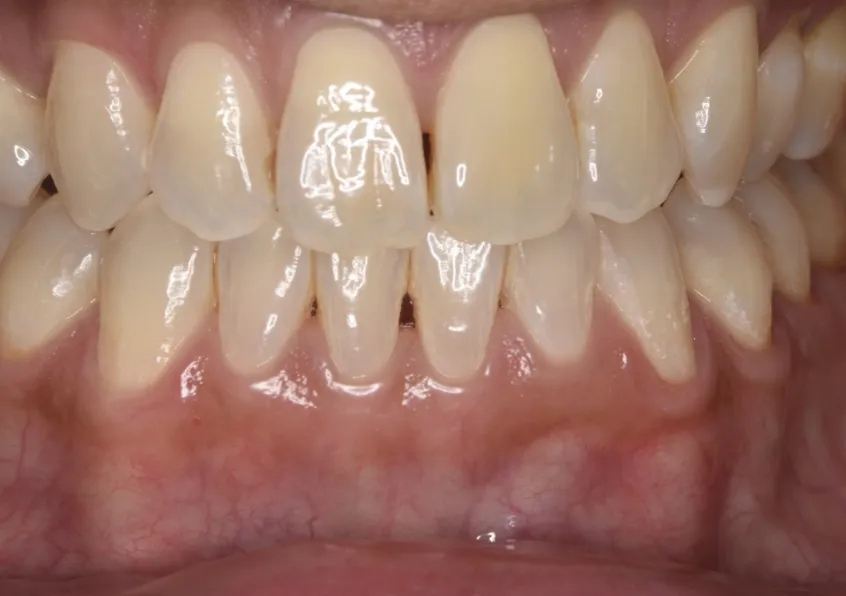
  • 治療前

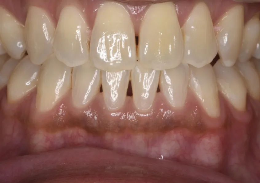
  • 治療後

医療費控除

医療費控除は、保険診療だけでなく自費診療も対象となる場合があります。
さらに通院にかかった公共交通機関の交通費も含められることがあります。
ご家族分をまとめて申告することも可能ですので、確定申告の際はぜひご確認ください

ご予約・お問い合わせ

0466-22-3890