むし歯治療
歯周病治療
根管治療
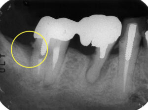
インプラント
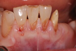
歯周外科治療
入れ歯(義歯)
審美歯科
ホワイトニング
予防歯科メインテナンス
医療費控除
診療内容
Case Studies
ご予約・お問い合わせ
0466-22-3890