ブログ
Blog
-
白さ?自然さ?あなたにぴったりの「審美歯科」とは
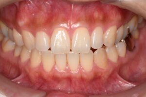
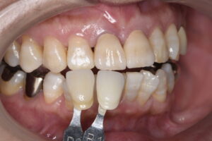
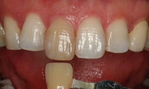
こんにちは。菅井歯科医院 藤沢の長岡です。 今回は誰もが気になる審美歯科についてです 歯科治療において健康と同じくらい重要視されているのが「見た目のきれいさ」です。 歯はお顔や表情を印象付ける大切な要素ですよね。 日々、審美歯科はとても難しいと感じます。 なぜならば、歯科における「美しさ」とは少なからず主観や個性との調和によって評価されるからです。 歯科にも「ゴールデンプロポーション」といった平均値や黄金比にそった美しさの基準はあります。 しかし、それがすべての人に当てはまるわけではありません。 色に関しても、「白いほど美しい」とは限りません。 患者さんひとりひとり、審美歯科の正解は違うのです。 上の前歯に審美歯科治療としてセラミックの被せ物をした症例をお見せします。 この患者さんは上の二本の前歯をやりかえることになりました。 審美歯科治療では、周りの歯と調和させるために歯の色の写真を撮影します。 できあがってきた被せ物を試適しました。 色味は近いですが、この患者さんの個性である横縞のある歯とならべてみると、のっぺりして不自然な印象です。 シェードガイドという色見本をあてて写真を撮り、技工士と細かなやり取りをします。 この患者さんは、「歯の色味にこだわるならば全体的に黄ばみを取りたい」と希望され、ホワイトニングをしました。 かなり馴染んできましたが、中央の横縞の色をもう少し調整することにしました。 下の写真は最終的な被せ物を装着したとこです。 個性としての横縞は再現しつつ、口元の印象が明るくなるように横縞の幅や色味を工夫して白さを出しています。 歯の形もよく調和しているのではないでしょうか。技工士に感謝です。 患者さんは大変満足してくださいました。 このように、審美歯科治療は「個性と馴染む美しさ」がとても重要です。 あなたの望むのはどんな「美しさ」でしょう。 セラミック治療を考えている方、歯の見た目が気になる方、どうぞご相談ください。
-
治療法は?一本だけの変色歯
あけましておめでとうございます 菅井歯科医院の長岡です。 本年もスタッフ一同精進して参りますので、どうぞよろしくお願いいたします。 さて、このブログの中でも反響が大きい「一本だけの変色歯」。 今回はその治療法についてまとめました。 原因についてはこちらで詳しく書いていますので読んでみてくださいね。 【なぜ?一本だけの変色歯】 歯が一本だけ濃い色になってしまう変色歯。特に前歯だと目立って気になりますよね。 一本だけの変色歯をきれいにする治療は主に2つあります。 詳しく解説していきます。 1.ウォーキングブリーチ 歯の中から行うホワイトニングで、着色の元となる色素を漂白し本来の色に近づける治療です。 まずは根管治療を行い、着色の原因である根の中の汚れを取り除きます。 根管治療終了後に、歯の中に薬剤を入れて蓋をし、1週間後に色の評価をします。 薬剤を取り換えて、歯の色が明るくなるまで何度か繰り返します。 最大のメリットは自分の歯を削らなくていいことです。(だだし、根管治療のために歯の裏面に穴を開けます。) デメリットは色が完全には元通りにならないことが多いことと、変色の後戻りをすることがあることです。 変色の原因は歯の中の有機物ですが、これを完全に除去することはできず、後々また色素を作ることがあります。 その際は再度ウォーキングブリーチが必要になります。 また、もともと大きな詰め物が入っていたり、虫歯などで歯の強度がない場合はウォーキングブリーチの適応外となります。 2.セラミック治療(被せ物) 周りの歯と馴染む、自然な被せ物を製作し装着する治療です。 ウォーキングブリーチと同様に、まずは根管治療を行います。 根管治療後、歯の形を整えて型をとりセラミックの被せ物を作ります。その際は、周りの歯と色が合わせらるように写真を撮影します。 メリットは歯の色をほぼ希望通りにできることです。 色のグラデーションや表面の質感などを技工士が丁寧に作っていきます。 被せ物ですので歯の色だけでなく、形も変えられます。 デメリットは歯を大きく削ることです。被せ物を入れるためにはその歯全体を大きく削る必要があります。 どちらの治療も利点、欠点があります。 丁寧にご説明しますので、ご自分の納得できる治療を選びましょう。 最後に、今回の写真の患者様はウォーキングブリーチを行いました。 【治療前】 【治療後】 歯の先端中央寄りに少し変色が残っていますが、歯を削る量を最小限にするため、これで治療終了としました。 患者様はとても喜んでくださいました。 一本だけの変色歯が気になる方、どうぞご相談ください。
-
歯茎の色とその原因は?治療でどう変わるの?
こんにちは。菅井歯科医院 藤沢の長岡です。 今日は歯茎の色とその原因、治療法についてです。 歯茎の色が気になる方、ホワイトニングなど口元の美容に興味のある方は読んでみてくださいね。 さて、あなたの歯茎はどんな色をしていますか? 1.明るいピンク色 2.赤色 3.まだらに茶色~黒くなっている 4.白や黒などその他の色 鏡でチェックしてみてください。 1.明るいピンク色 健康的な歯茎です。セルフケアと定期検診でそのまま維持してくださいね。 2.赤色 歯周病で歯茎に炎症が起きています。歯周病治療を受けましょう。 3.まだらに茶色~黒くなっている メラニン色素が沈着しています。原因は喫煙や紫外線などです。気になる場合はガムピーリングで除去することができます。 4.白や黒などその他の色 被せ物の歯科金属による黒い着色(メタルタトゥー)は比較的よくみられます。 他の疾患の可能性もありますので、歯科医院で相談しましょう。 きちんと治療することで、歯茎は健康な状態に近づいていきます。 歯周病で赤く炎症していた歯茎も、腫れが引くとピンク色に戻ってきました。(左:治療前、右:消炎後) メラニン色素が目立つ歯茎も、色素を除去するとピンク色になりました。(左:治療前、右:治療後) ガムピーリングの治療例はこちらです。 あなたの歯茎はどうでしたか? 気になることがありましたら、どんなことでもご相談ください。
-
ホームホワイトニングとは?マイペースでできてメリットいっぱい♪
こんにちは。藤沢駅徒歩5分、菅井歯科医院 藤沢の長岡です。 やっと涼しくなり、過ごしやすい気候になりましたね。 さて、今日はホームホワイトニングについてです。 歯を白くするホワイトニングは患者さんにもスタッフにも人気の高い治療です もうやっている方、やってみたいと思っている方も多いのではないでしょうか。 ホワイトニングに興味のある方、ホワイトニングにどんな種類があるか知りたい方はぜひ最後まで読んでみてくださいね。 ひとことでホワイトニングと言っても、用途や治療法によって大きく3つに分けられます。 ・オフィスホワイトニング 歯科医院で行うホワイトニング。1~2回の来院で終了します。一回で結果を求める方にお勧めです。 ・ホームホワイトニング 患者さんがご自分でマウスピースと薬液を使って行うホワイトニング。詳しくは後述します。 ・ウォーキングブリーチ 一本だけ黒くなってしまった歯の漂白をするホワイトニング。他の二つとは大きく種類が異なります。 詳しくはこちらをご覧ください。 ホームホワイトニングは患者さんがマウスピースに薬液をセットし、一日1~2時間、10~14日かけてじっくり行うホワイトニングです。 時間はかかりますが、なかなか歯科医院で長時間の診療に行けない方にピッタリです。 また、オフィスホワイトニングに比べて薬液の濃度が薄く、光照射による熱ダメージもないため歯がしみにくい傾向にあります。 こちらがホームホワイトニング用のマウスピースです。薄くてやわらかいので付け心地が軽く、あまり目立ちません。 こちらのオパールエッセンスgoは歯型取りも不要でより手軽です。10日分の薬液付きマウスピースがセットになっていて、買ったその日から始められます。詳しくはこちらもご覧ください。 マウスピースを作製した場合は、一度ホワイトニングが終了した後も薬液を買い足せば着色が気になったタイミングですぐにホワイトニングを始めることができます。(口腔内に変化がなく、同じマウスピースが使用可能な場合に限ります。) ホワイトニング後は着色の後戻りが生じますが、軽度の場合は数日のホームホワイトニングでリカバリーできます。 (使用頻度や期間は歯科医師の指示に従ってください。) 【まとめ】 ホームホワイトニングのメリットは ・自分のペースでホワイトニングができる ・オフィスホワイトニングに比べて歯がしみにくい ・一度マウスピースを作製すれば薬液を買い足して継続的にホワイトニングを行うことが可能 忙しくて長い時間の予約が取りにくい方、気になったときにこまめにホワイトニングをしたい方、ホワイトニングで歯がしみた経験がある方はぜひホームホワイトニングをお試しください。 また、とことん白さを追求したい方にはオフィスホワイトニングとホームホワイトニングの合わせ技がおすすめです。 ご自分に合ったホワイトニングを知りたい方はお気軽にご相談ください。
-
再生療法で大活躍!エムドゲイン®とは?
こんにちは。藤沢駅徒歩5分、菅井歯科医院 藤沢の歯周病専門医の長岡です。 さて、今日は歯周組織再生療法で大活躍のエムドゲイン®ゲルについてです。 歯周病治療について知りたい方はぜひ読んでみてください。 【エムドゲイン®ゲルとは】 歯周病に罹患した歯はその歯を支える骨や歯茎など(歯周組織)が破壊されます。 歯周病で破壊された歯周組織は原則として回復しませんが、条件が合えば歯周組織再生療法で治すことができます。 エムドゲイン®ゲルは歯周組織再生療法に使われる材料の一つです。 エムドゲイン®ゲルの主成分はエナメルマトリックスデリバティブ(EMD)というタンパク質成分です。 お母さんのお腹の中で赤ちゃんの歯や歯周組織を作る重要なタンパク質にエナメルマトリックスタンパク質というものがあります。 エナメルマトリックスデリバティブ(EMD)は、このエナメルマトリックスタンパク質を含んだもので、使用することで歯周組織の再生が期待できます。 エムドゲイン®ゲルはブタの歯胚(生えてくる前の歯)から作られています。 再生医療は目新しい印象がありますが、エムドゲイン®ゲルは25年以上の販売実績があるんです。 【メリット】 歯周組織再生を促す 間葉系細胞の誘導、増殖を促進し、支持細胞の増殖、分化を経て歯周組織が再生されます。 創傷治癒の促進 痛みと腫れを軽減し、術後の不快症状を軽減させます。 【デメリット】 保険適応外 エムドゲイン®ゲルを用いた治療は全て自由診療となります。 【治療例】 歯周組織再生療法 歯肉再生治療 破壊された組織を再生させるエムドゲイン®ゲルですが、もちろん魔法の薬ではありません。 歯周病治療においては炎症コントロールが不可欠で、患者さまには正しい歯磨きを習慣付けてもらう必要があります。 喫煙や糖尿病などの全身疾患がある方は治療が難しくなります。 まずは診査・診断が必要になりますので、歯周病でお悩みの方はぜひご相談ください。