歯周外科治療

Periodontal Surgery

歯周組織再生誘導療法について

歯周組織再生誘導療法とは、失われた歯周組織(歯肉、骨など)をよみがえらせる再生医療です。

歯周病で破壊された歯周組織の再生や、骨が痩せてインプラント治療ができない部位の骨の再生をすることも条件次第では可能になります。

今までの歯周病治療は、歯周組織破壊の進行を止め、残っている歯周組織を安定した状態で維持することが最大の目標でした。再生療法は、条件さえ整えば歯を支える歯周組織をを再生させ、歯周病になる以前の健康な状態に近づけることができます。

また、この治療を応用すれば、顎の骨の条件(厚み、形態)が悪くインプラントの埋入が難しい場合も、そこの骨の量を増やしてインプラント治療が可能になります。

歯周組織再生誘導療法は大きく分けて「エムドゲインを用いた歯周組織再生誘導療法」と「GBR」の2つがあります。

歯槽骨増大手術とインプラント

近年、インプラントを希望する患者様が増えてきています。しかしながら、歯を失った場合、周囲の骨も溶けて少なくなってしまっていることが多いのが現状です。インプラントを埋める為に必要な骨が不十分で、インプラントを諦めてしまっている患者様も多いようです。

当院ではGBRを始め、サイナスリフト、ソケットリフト等、様々な骨再生手術を行っております。骨の再生治療により、他院ではインプラント不可能と診断された患者様にもインプラント治療を提供することが可能です。是非一度ご相談ください。

エムドゲインを用いた
歯周組織再生誘導療法

エムドゲイン製剤

エムドゲインとは、スウェーデンで開発され、世界各国で実績がある薬剤です。赤ちゃんが歯周組織を作るときに必要な成分(エナメルマトリックスタンパク質)を含んでいます。

骨の再生を助ける薬剤で、比較的深く骨が失われているところに用いられます。安全性においても世界で認められており、日本の厚生労働省の認可も受けているものですので安心して治療をお受けいただけます。

メリット

  • 歯周組織の再生が期待できる

デメリット

  • 適用症が限られる
  • 全身状態によって処置ができない場合がある
治療期間
1ヶ月程 術後観察が半年〜1年必要
治療回数
約4回
料金(税別)
100,000円~150,000円/本
同一術野2本目以降+20,000円/本
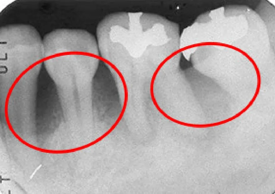
  • 使用前のレントゲンです。根の周りが黒くなっているところが骨が溶けている所です。

  • 使用後のレントゲンです。黒くなっていた部分に骨が出来て白くなっています。

GBRを用いた
歯周組織再生誘導療法

GBR材料(メンブレンと骨補填材)

GBR(骨再生誘導法)とは、欠損した骨組織を特殊な膜等を用いて再生させる治療法です。

骨が失われた部位を特殊な膜で覆って上皮の進入を防ぎ、骨の自己再生能力を最大限に高めて再生を促します。

GBR法を応用すれば、顎の骨がやせてインプラントが出来なかった部位にもインプラントを埋入することが可能になります。

メリット

  • 歯槽骨の増大が期待できる

デメリット

  • 適用症が限られる
  • 全身状態によって処置ができない場合がある
治療期間
術後観察期間を合わせて半年ほど
治療回数
約4回
料金(税別)
40,000円~150,000円/1本
同一術野2本目以降+40,000円/本
  • 治療前

  • 治療後

サイナスリフト

上顎のインプラント治療の際に骨の高さが足りないケースで、上顎洞という骨内の空洞を利用して骨を作る手術です。

メリット

  • 歯槽骨の増大が期待できる

デメリット

  • 鼻炎や上顎洞炎がある場合は事前に耳鼻科で治療が必要なことがあります
治療期間
術後観察期間を合わせて半年ほど
治療回数
約4回
料金(税別)
200,000円/2歯まで
同一術野2本目以降+20,000円/本
  • 上顎の骨がほとんど無い状態です。

  • サイナスリフトという骨再生手術で、十分な骨が出来ているのが分かります

歯周形成外科イメージ

歯周形成外科

歯周形成外科は、歯周病治療の一環として行われる外科治療です。歯茎の退縮(下がり)や、凹みの改善など、従来の治療では充分な改善が難しい症例に対して行います。

エムドゲインやリグロスといった歯周組織再生材料を併用し、最新の治療技術と繊細な手術手法により、歯肉の厚みを増やすことで更なる退縮を予防することを目的とします。また、失われた歯周組織を可能な限り再生・修復させることで、見た目の改善だけでなく、清掃性の高い口腔環境を作り長期的なお口の健康を目指します。

メリット

  • 歯肉の厚みを増すことで更なる退縮の予防が期待できる
  • 条件が良ければ歯茎の退縮を改善できる
  • 歯ブラシが当てやすい歯肉の形状に改善できる

デメリット

  • 鼻炎や上顎洞炎がある場合は事前に耳鼻科で治療が必要なことがあります
治療期間
術後観察期間を合わせて半年ほど
治療回数
1回
料金(税別)
90,000円/本
同一術野2本目以降+20,000円/本
手術範囲により加算あり
  • 術前

  • 術後

医療費控除

医療費控除は、保険診療だけでなく自費診療も対象となる場合があります。
さらに通院にかかった公共交通機関の交通費も含められることがあります。
ご家族分をまとめて申告することも可能ですので、確定申告の際はぜひご確認ください

ご予約・お問い合わせ

0466-22-3890