根管治療

Root Canal Treatment

歯の寿命を延ばす
精密な根管治療

歯の根の内部には「根管」というトンネル状の細い通路があり、その中には歯の痛みやしみる感覚をつかさどる神経と血管が走行しています。

この神経と血管は、大きな虫歯や外傷によって壊死(失活)することがあり、失活した神経組織は感染源となって根管内を汚染し、根の先端に根尖病巣を形成します。

治療には、感染した神経組織を除去して根管内を清潔にする「根管治療」が必要となります。

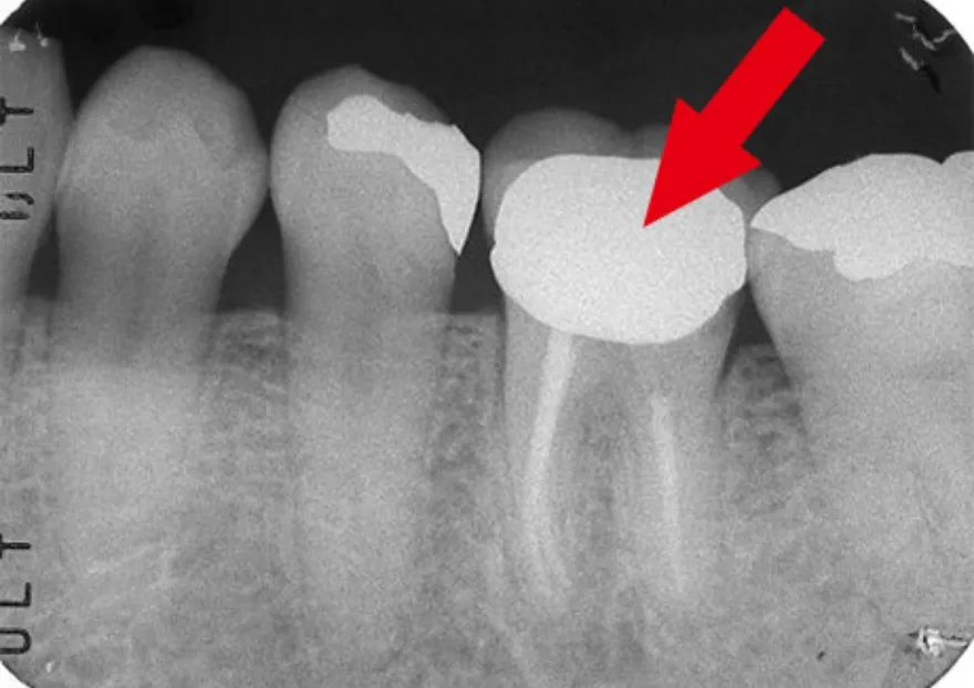
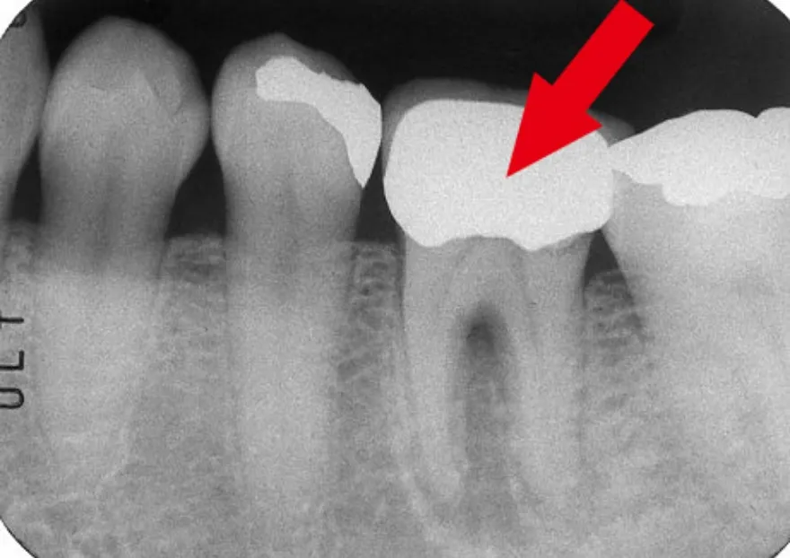
エックス線写真でみる根管治療

  • 根管治療前のエックス線写真では、根の先端から股の部分にかけて黒い影が見えます。これが根尖病巣です。

  • 根管治療後のエックス線写真では、根の中に詰めた薬剤が白く映っています。根の周りにあった黒い影が消えているのが分かります。

根管治療の成功率

根管治療は、繊細で高度な技術が必要な治療の一つです。

保険診療では時間や器具、材料などの制約で精密な治療が難しく、再発の可能性が高くなります。

次のグラフは、根管治療後のエックス線写真で、歯の根に病巣を確認できた割合を示したものです。

これは、根の病気の再発、つまり根管治療の失敗率を表しています。

日本と米国の
根管治療の違い

では、日本と米国の根管治療を比較してみましょう。

次の表より、日本の保険診療で根管治療を行った場合、半数以上で再発がみられ、再治療が必要になっています。

一方、米国で根管治療を行った場合の成功率は約90%です。

この数十年で根管治療に関連する技術革新が進み、これをどんどん取り入れていった米国の根管治療の成功率は著しく上昇しました。(米国は基本的に自費診療です。)

一方、日本では保険診療が主流で、保険でカバーできない新しい根管治療の技術や設備が広まらず、今でも数十年前とあまり変わらない根管治療を行っているのが現実です。

当院で行う精密根管治療の特徴

CTによる診査

CTによる診査

根管治療の診査は主にエックス線写真で行いますが、複数の根や複雑な根管形態を持つ歯の場合は充分な診査が困難です。
そのため当院では歯科用CTを活用し、歯や骨の状態を三次元的に把握して、より正確な診断・治療を提供いたします。

ラバーダム防湿

ラバーダム防湿

根管治療中は口腔内の雑菌による再感染を防ぐことが重要です。
当院では、全ての根管治療でラバーダム防湿を採用しています。このゴムシートで治療歯を隔離することで、唾液による感染を防ぐだけでなく、治療時の薬液などの誤飲を防止し、より安全な治療を実現します。

マイクロスコープ・拡大鏡

マイクロスコープ・拡大鏡

根管治療は暗い口腔内で、直径1mm未満の細い根管内の感染物質や膿、古い治療材料などを除去する必要があります。これらを肉眼で把握することはまず不可能です。

当院ではマイクロスコープや拡大鏡を使用し、最大25倍という高倍率の拡大視野で根管内を確認することで精密な治療を行っています。また、歯の破折診断なども的確に行います。

ニッケルチタンファイル

ニッケルチタンファイル

根管治療では、感染除去のために歯の内部を専用ファイルで削ります。従来のステンレス製は硬くて折れやすい欠点がありましたが、現在は柔軟なニッケルチタン製の電動ファイルが主流です。根管の湾曲に沿って安全に治療でき、短時間で効率的な感染除去が可能になっています。

審美歯科

根管治療の長期安定は
被せ物で決まります

根管治療は、精密な被せ物が歯を覆うことで完成します。精密に根管治療を行っても、削れたり、変形する可能性が高い被せ物が入ると長期的にみて細菌による再感染のリスクが上がります。

セラミックによる被せ物は、見た目の美しさのイメージが強いですが、強度や適合精度が高く、根管治療後の歯の表面をしっかりシーリングしてくれます。

ご予約・お問い合わせ

0466-22-3890