Case Studies

前歯部の審美治療例(ジルコニアセラミックス)

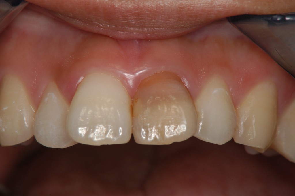
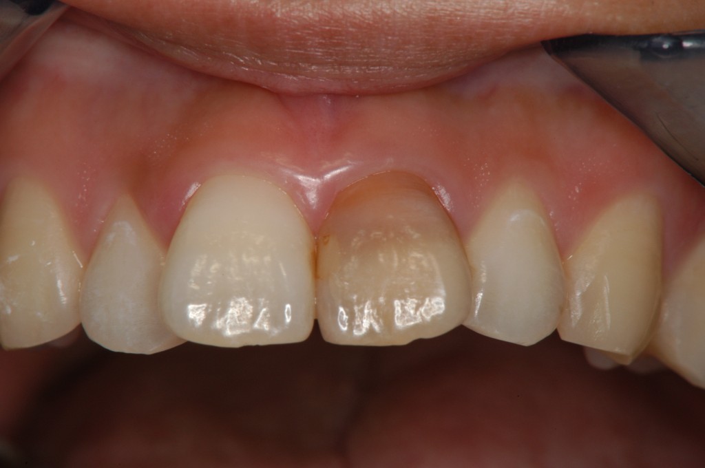
  • 治療前
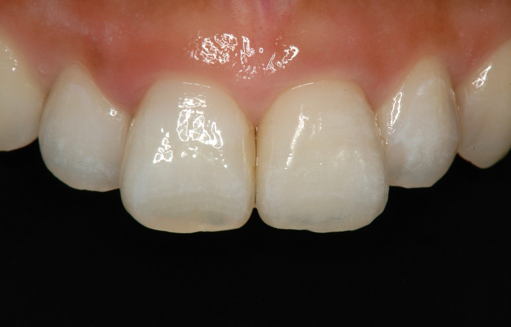
  • 治療後

患者様情報

年代
30代
性別
女性
症状
左の前歯を綺麗にしたい。
治療期間
1ヵ月半
治療回数
4回
治療費用
15万円(仮歯代 別途6,000円)

この治療におけるメリットとデメリット

メリット

  • 金属不使用のため、歯茎の黒ずみや、金属アレルギーのリスクがありません。歯の色味の再現度が高く、周りの歯とよくなじみます。精度の良い材料を使用します。プラークが付きにくく、変形もしないため、二次的な虫歯のリスクが低くなります。

デメリット

  • 保険適応外の治療となります。ひとつひとつの工程をじっくりと行うため、保険診療と比べて治療時間や回数が多くなります。

治療方法

左の前歯の審美的改善を希望して来院されました。

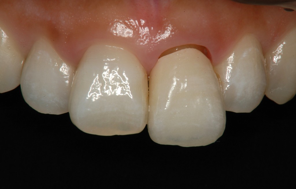
セラミックスの被せものの装着直前の状態です。

天然の歯と見比べてもどれがセラミックスかわからないほどに,調和しています。患者様にも大変喜んでいただきました。

ご予約・お問い合わせ

0466-22-3890