Case Studies

歯茎下がり,歯茎がやせた方への歯茎の再生

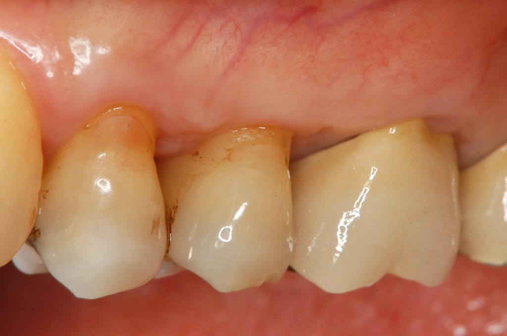
  • 治療前
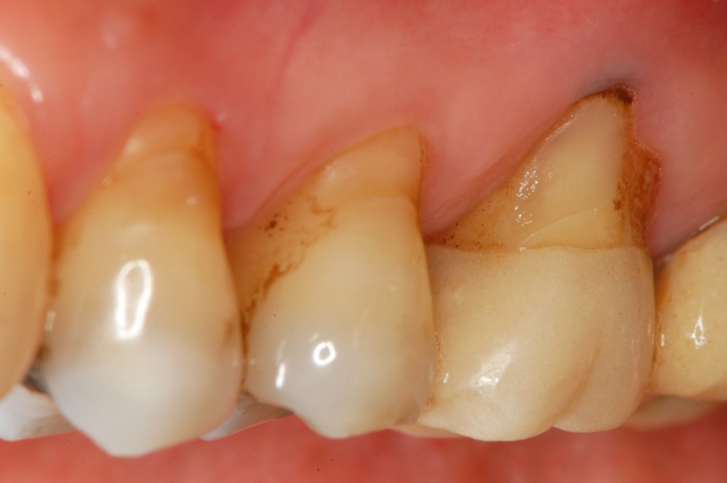
  • 治療後

患者様情報

年代
60代
性別
女性
症状
歯茎が下がってきた。歯茎がやせてきて気になる。歯周病かどうか心配。このままどんどん歯茎がやせてしまって,歯が抜けるのではないかと不安。
治療期間
約6ヵ月、治療回数は10回(術後観察期間含む)
治療費用
12万円

この治療におけるメリットとデメリット

メリット

  • 歯茎の厚みを増すことで、更なる歯肉退縮の予防ができる。

  • 硬くて厚みのある歯茎になることで、ブラッシングがしやすくなる。

  • 条件が良ければ、歯茎が下がって露出した歯根をカバーすることができる。

  • 根面がカバーされることで、根面う蝕や知覚過敏の抑制が期待できる。

デメリット

  • 適応症が限られる。

  • 外科処置のため、全身状態によっては行えないことがある。

  • 糖尿病患者や喫煙者などは治癒不全を起こすことがある。

  • 保険適応外の治療になる。

治療方法

上の奥歯の歯茎がやせていて,根っこが見えている状態です。治療法はエムドゲインと結合組織移植を用いた根面被覆術を選択しました。

上顎の内側から結合組織(歯茎)を採取します。これを歯肉退縮部(歯茎がやせたところ)に縫い付けて,根っこを覆います。

結合組織を採ってきた部分です。採取した後に縫合してあります。ここの傷は術後,硬い食べ物などが当たらないように気をつけていただきます。術後1〜2週間で良くなってきます。

採取した結合組織を,術野に試適しているところです。結合組織が十分なサイズであることがわかります。

結合組織を縫合しました。

治癒後の写真は,このページ一番上の治療後の写真をご覧ください。
術前に比較して,露出していた根っこの面積が少なくなっているのがわかります。ご本人も大変喜ばれていました。

ご予約・お問い合わせ

0466-22-3890