Case Studies

骨移植を用いた歯周組織再生療法

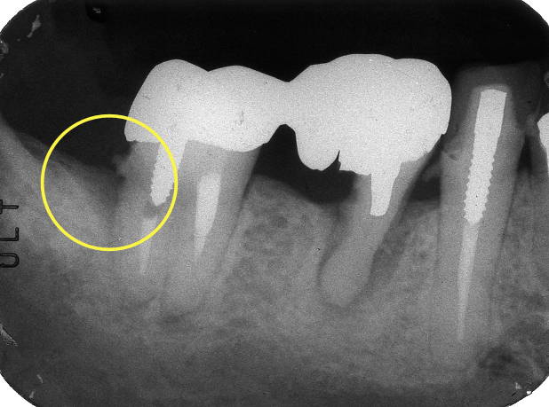
  • 治療前
  • 治療後

患者様情報

年代
60代
性別
女性
症状
右下奥歯の歯周病が進行していました。患者様は奥歯の違和感を訴えて来院されました。進行した歯周病でも激しい痛みを伴わないことは多々有ります。
治療期間
約10ヵ月、治療回数は15回(術後観察期間含む)
治療費用
10万円

この治療におけるメリットとデメリット

メリット

  • 歯周病によって破壊された骨など歯周組織の再生が期待できる。

  • 治療時に、深部に溜まった歯石やプラークを除去できる。

デメリット

  • 適応症が限られる。

  • 外科処置であるため、全身状態によっては行えないことがある。

  • 糖尿病患者や喫煙者などは治癒不全を起こすことがある。

  • 骨の再生を待つ必要があるため、半年~一年の術後観察期間を要する。

  • 再生後の状態によっては、骨の形態修正のためにリエントリー手術を行うことがある。

治療方法

丸印の部分が,歯周病が進行して歯を支えている歯槽骨が溶けてしまっているところです。歯石が着いていてレントゲンでも根の表面が粗造になっていることがわかります。また,歯石の少し上には被せ物の縁がありますが,それも根っこからはみ出てて適合が悪いことが分かります。歯石も適合の悪い被せ物も,歯周病の原因であるプラークを停滞させる要因になります。
また,手前の歯(丸印の付いた歯の右に写っている歯)は昔に分割して,悪い方の根っこだけ抜歯する治療を受けています(ヘミセクションといいます)が,残した根っこの全周にわたって歯周病が進行していました。

再生手術時の写真です。歯肉を切開・剥離した後に,骨が溶けて膿みが溜まっている部分を廓清し,歯石を除去しました。

骨面も根面もきれいにした後に,再生材料を骨欠損部に充填します。このケースでは自家骨移植を行いました。多くの場合,骨移植のみではなくエナメルマトリックスタンパク(エムドゲイン)やPDGFなどの成長因子を併用します。

治療後1年経過時のレントゲン写真です。付着していた歯石や,不適合な被せ物はなくなり,溶けていた歯槽骨が再生しているのが分かります。
歯周ポケットも3mm以内と浅くなり,健康な状態を取り戻すことが出来ました。

ご予約・お問い合わせ

0466-22-3890