Case Studies

骨が全然無い上顎の奥歯に骨の再生手術を併用してインプラント治療した症例

  • 治療前
  • 治療後

患者様情報

年代
70代
性別
女性
症状
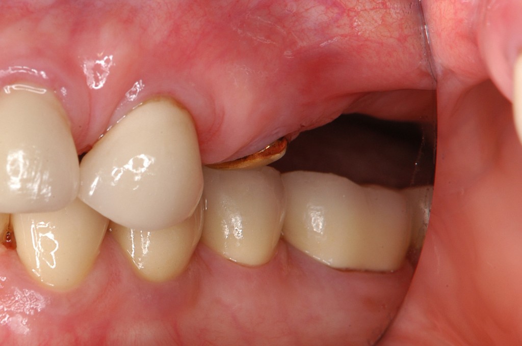
上の奥歯にインプラント治療をしたいが骨が全く無く,前の歯科医師にはインプラントは無理と言われたとのこと。
治療期間
約1年半、治療回数は40回ほど(術後観察期間含む)
治療費用
サイナスリフト20万円、インプラント45万円/本

この治療におけるメリットとデメリット

メリット

  • 骨が不足している部分にもインプラントを入れることが可能になる。

  • 周りの歯を削ったりせずに歯を入れることができる。

  • 噛む力を骨が支えるため、しっかり噛むことができる。

  • 日常生活で取り外す必要がないため、手入れがしやすい。

  • 審美補綴治療では、より自然な見た目の歯を入れることができる。

デメリット

  • 適応症が限られる。

  • 外科処置であるため、全身状態によっては行えないことがある。

  • 糖尿病患者や喫煙者などは治癒不全を起こすことがある。

  • 鼻炎や副鼻腔炎がある場合は事前に耳鼻科での治療が必要なことがある。

  • 保険適応外の治療となる。

治療方法

CT検査をしてみると,確かにインプラントを埋入したい部位に骨が全然無い(CT上で黒く映っている)のが分かります。

まずはインプラントを支えるための骨を造る必要がありましたので,サイナスリフトという手術を行いました。
上顎骨の空洞に骨を造る手術で,一般的な歯科医院では行うことが出来ない,高度な技術が必要な手術です。ひと昔前では,大学病院で入院して行うような手術でしたが今は材料と医療機器,技術の進歩で,日帰りで手術を行うことが出来ます。

サイナスリフト手術の6ヶ月後のCTです。以前は骨が無く黒く映っていたところに骨が出来て(白く映って)いるのが分かります。

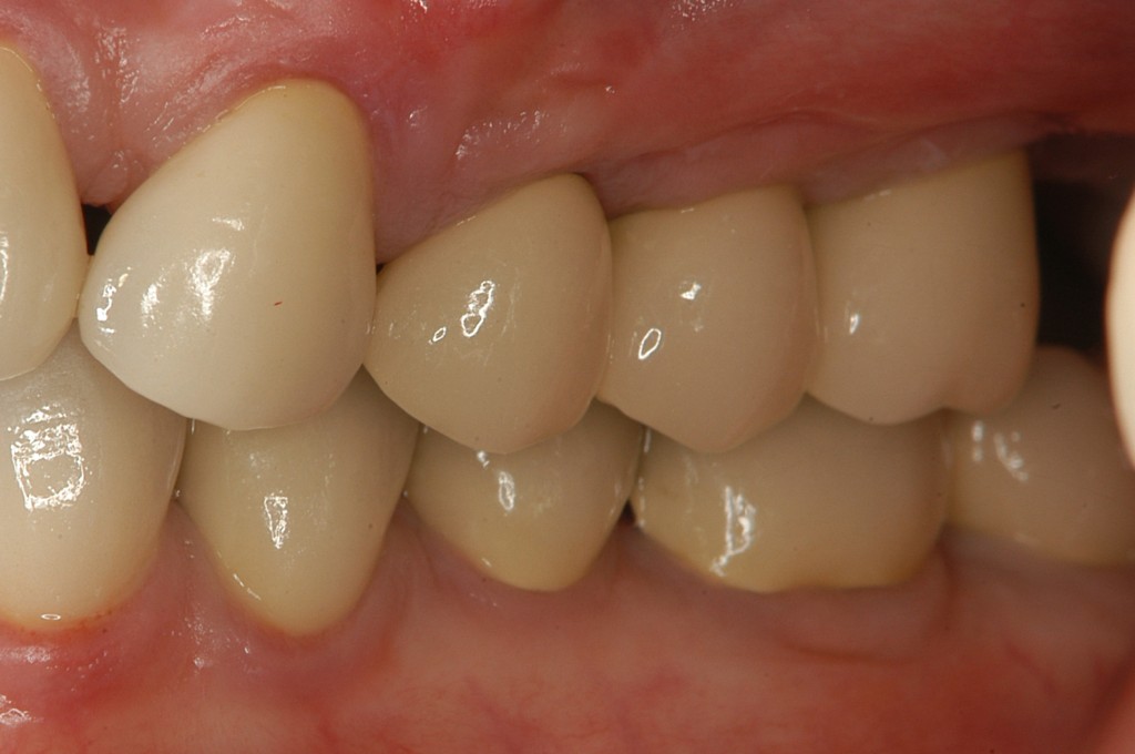
インプラントを埋入し,セラミックスクラウンを被せました。
奥歯でも食べ物を噛めるようになり,大変満足していただきました。

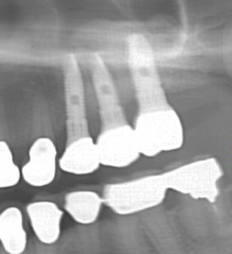
治療後のレントゲン写真です。長さ,太さの十分なインプラントが再生した骨によって支えられているのが分かります。

ご予約・お問い合わせ

0466-22-3890