Case Studies

歯茎下がり,歯茎がやせた方への歯茎の再生2(歯肉退縮の治療)

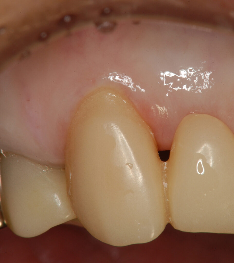
  • 治療前
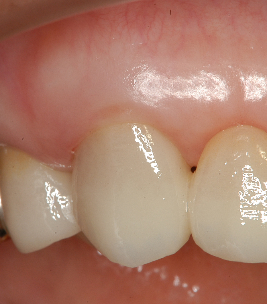
  • 治療後

患者様情報

年代
40代
性別
女性
症状
右上の前歯の歯茎がやせてしまった。このままどんどん下がってしまわないか不安。
治療期間
約6ヵ月、治療回数は10回(術後観察期間含む)
治療費用
8万円

この治療におけるメリットとデメリット

メリット

  • 歯茎の厚みを増すことで、更なる歯肉退縮の予防ができる。

  • 硬くて厚みのある歯茎になることで、ブラッシングがしやすくなる。

  • 条件が良ければ、歯茎が下がって露出した歯根をカバーすることができる。

  • 根面がカバーされることで、根面う蝕や知覚過敏の抑制が期待できる。

デメリット

  • 適応症が限られる。

  • 外科処置のため、全身状態によっては行えないことがある。

  • 糖尿病患者や喫煙者などは治癒不全を起こすことがある。

  • 保険適応外の治療になる。

治療方法

患者さんご自身の上顎の内側(口蓋という部分)から結合組織の一部を採取し,形態を整えます。

歯茎が痩せた部位に結合組織をもぐりこませ,生着するように縫合します。
結合組織移植術(Connective Tissue Graft: CTG)と言います。

ご予約・お問い合わせ

0466-22-3890