Case Studies

精密根管治療

  • 治療前
  • 治療後

患者様情報

年代
30代
性別
男性
症状
右下の奥が1ヶ月半前ぐらいから痛い。最近になり"おできみたいなもの"ができた。前の歯科医院ではブラシでケアするしかないと言われてしまったが、そのまま放置する事で大きくなるのではないかと思い、不安のため治したい。
治療期間
根の治療期間1ヶ月(術後観察1年)
治療回数
根の治療(3回)
治療費用
精密根管治療9万円+補綴14万円(土台、被せ物)

この治療におけるメリットとデメリット

メリット

  • マイクロスコープを使用した精密な治療

  • ラバーダム防湿による感染予防

  • CTを用いた精密な診断(必要に応じて)

  • 柔軟性を持つニッケルチタンファイルを使用

  • 精密根管治療なら、抜かずに治療で残せる可能性がある

デメリット

  • 費用が高額

治療方法

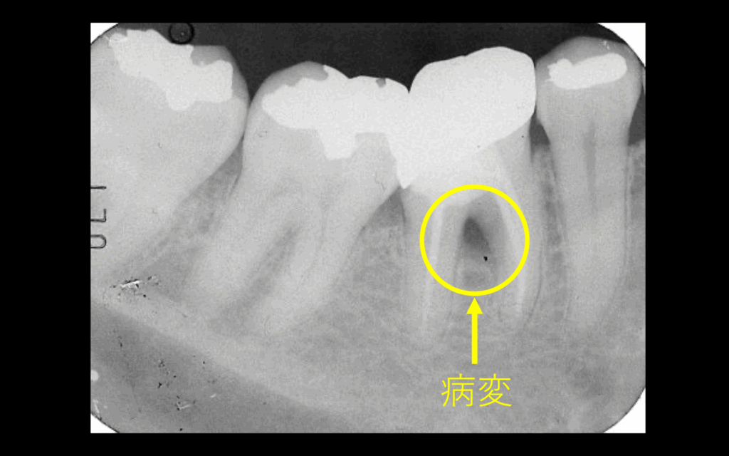
初診時。マイクロスコープで歯肉が腫れているの確認(左図)。レントゲン所見より、黒い部分が腫れている原因の病変である(右図)

病変の原因は細菌のため、まずは虫歯の徹底的な除去から始めます。ピンク色に染まっている部分が虫歯です(左図)。虫歯の除去後はラバーダム防湿下で根の中をきれいにしていきます(右図)

初診時にあった歯肉の腫れは根管治療2回行ったところで、消失が確認された(左図)最後はきれいにした根の中にお薬を密封し、根管治療は終了となる(右図)

術後はレントゲン撮影により経過観察。初診時のレントゲンにあった黄色の円で囲っている黒い部分の病変は、経過を追うにつれ、病変が小さくなり、骨が再生されてきているのが分かる。歯周外科(再生療法)などは行なっておりません。

術後1年。レントゲン所見より黒い部分(病変)か消失し、完全に骨が再生されている(右図)被せ物はフルジルコニアクラウン(左図)

ご予約・お問い合わせ

0466-22-3890