Case Studies

歯茎下がりの治療(歯茎の移植)

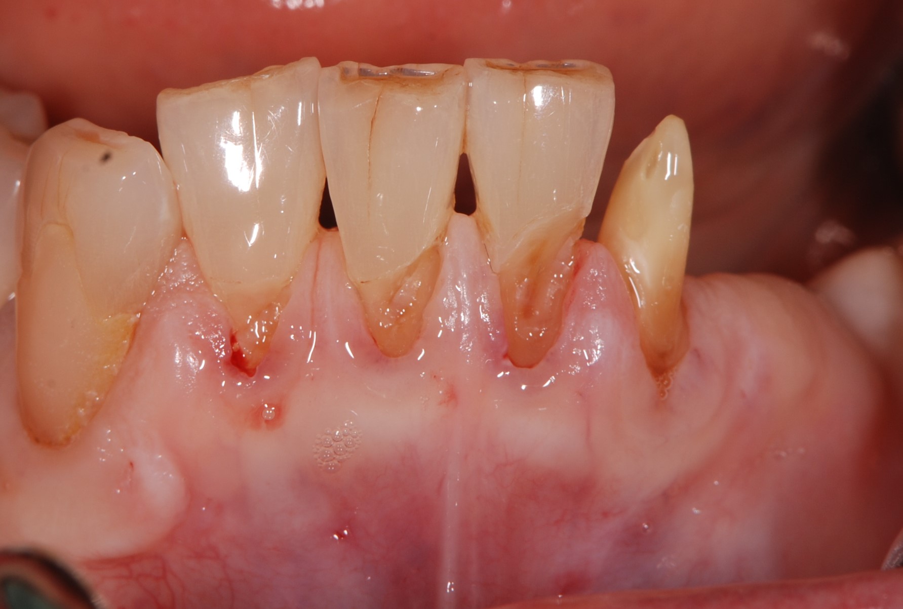
  • 治療前
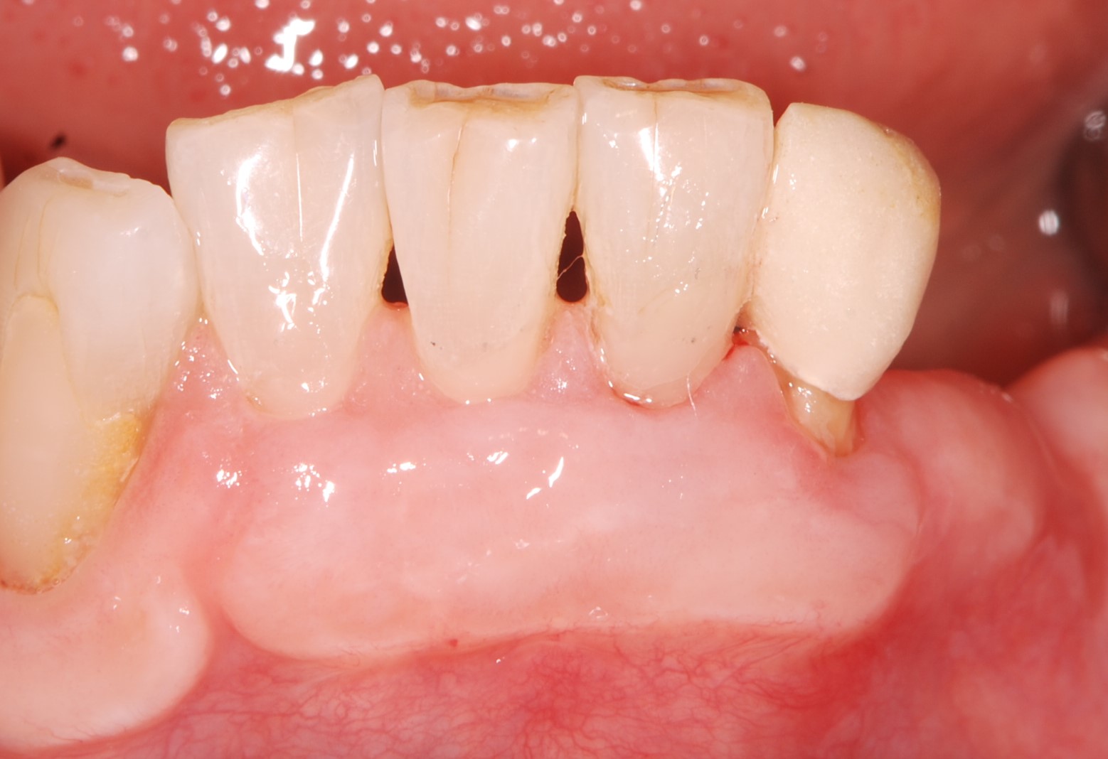
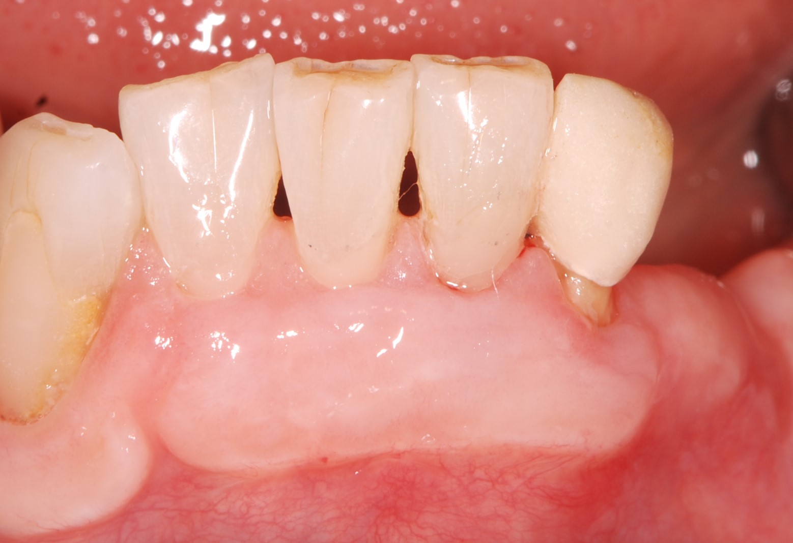
  • 治療後

患者様情報

年代
60代
性別
女性
症状
前歯の見た目が気になるし、歯ブラシが当たると痛い。何度も詰め物をやり直しているが、どんどん歯茎が下がっているような気がする。歯茎が下がり、歯の根が露出したところが虫歯になっていた(根面う蝕)。
治療期間
約3ヵ月、治療回数は6回(術後観察期間含む)
治療回数
テスト
治療費用
12万円

この治療におけるメリットとデメリット

メリット

  • 歯茎の厚みを増すことで、更なる歯肉退縮の予防ができる。

  • 硬くて厚みのある歯茎になることで、ブラッシングがしやすくなる。

  • 条件が良ければ、歯茎が下がって露出した歯根をカバーすることができる。

  • 根面がカバーされることで、根面う蝕や知覚過敏の抑制が期待できる

デメリット

  • 適応症が限られる。

  • 外科処置のため、全身状態によっては行えないことがある。

  • 糖尿病患者や喫煙者などは治癒不全を起こすことがある。

  • 保険適応外の治療になる。

治療方法

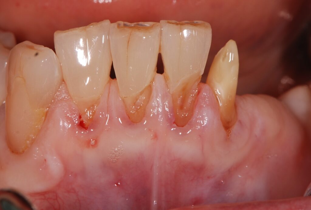
古い詰め物と虫歯を取った状態。血管が透けて見えるほど薄い歯茎である。このような歯茎は歯ブラシが当たると痛みを感じやすい。

上あごから、硬くて厚みのある上皮を採取した。

採取した上皮を薄い歯茎の部分に移植し、縫合する。
(遊離歯肉移植術)

治りを待って、歯の形を樹脂の詰め物で整えた。
見た目の回復はもちろん、歯茎が分厚くなったことで歯ブラシをしっかりと当てられるようになり、虫歯の予防も期待できる。

ご予約・お問い合わせ

0466-22-3890