Case Studies

前歯が折れてしまった患者様

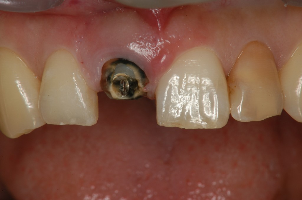
  • 治療前
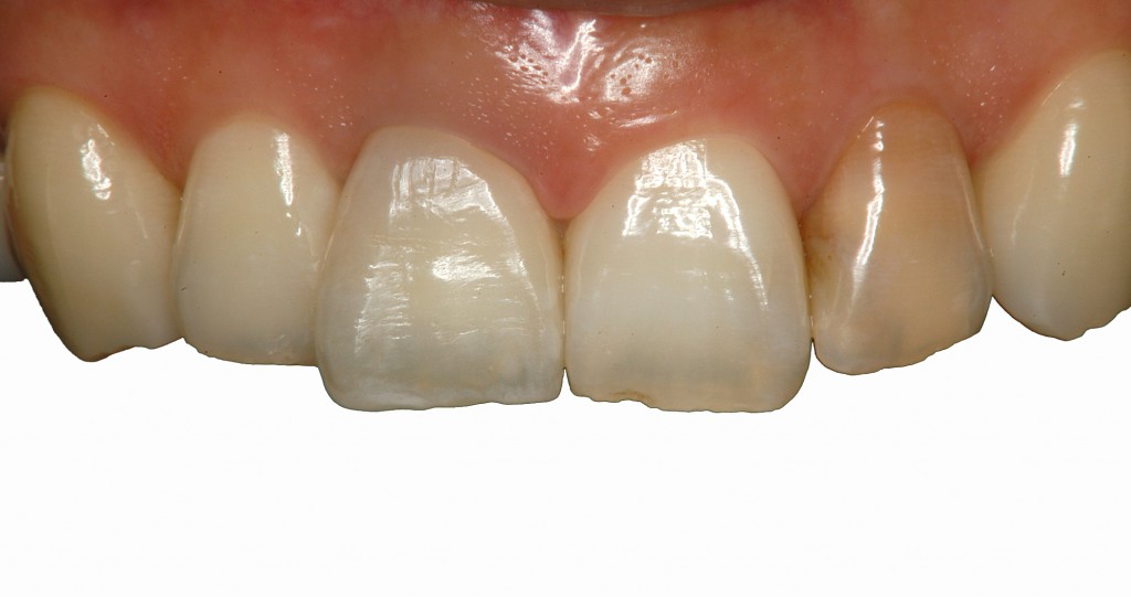
  • 治療後

患者様情報

年代
30代
性別
女性
症状
前歯が折れてしまった
治療期間
約12ヵ月、治療回数は23回(術後観察期間含む)
治療費用
51万円(抜歯即時埋入加算、審美補綴治療費含む)

この治療におけるメリットとデメリット

メリット

  • 周りの歯を削ったりせずに歯を入れることができる。

  • 噛む力を骨が支えるため、しっかり噛むことができる。

  • 日常生活で取り外す必要がないため、手入れがしやすい。

  • 審美補綴治療では、より自然な見た目の歯を入れることができる。

デメリット

  • 適応症が限られる。

  • 外科処置であるため、全身状態によっては行えないことがある。

  • 糖尿病患者や喫煙者などは治癒不全を起こすことがある。

  • 骨や歯茎の状態によっては追加の処置が必要な場合がある。

  • 保険適応外の治療となる。

治療方法

差し歯が抜けてしまい,残っている根っこも虫歯がひどく,抜かなければならない状態でした。

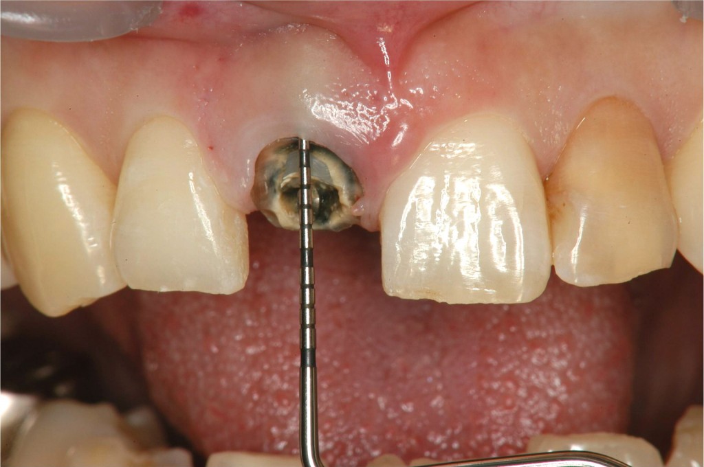
インプラントを埋入し,土台が立った状態です。

セラミックスの被せものを装着しました。どれが治療したかわからないほど,仕上がりは綺麗です。

ご予約・お問い合わせ

0466-22-3890