Case Studies

ガムピーリング

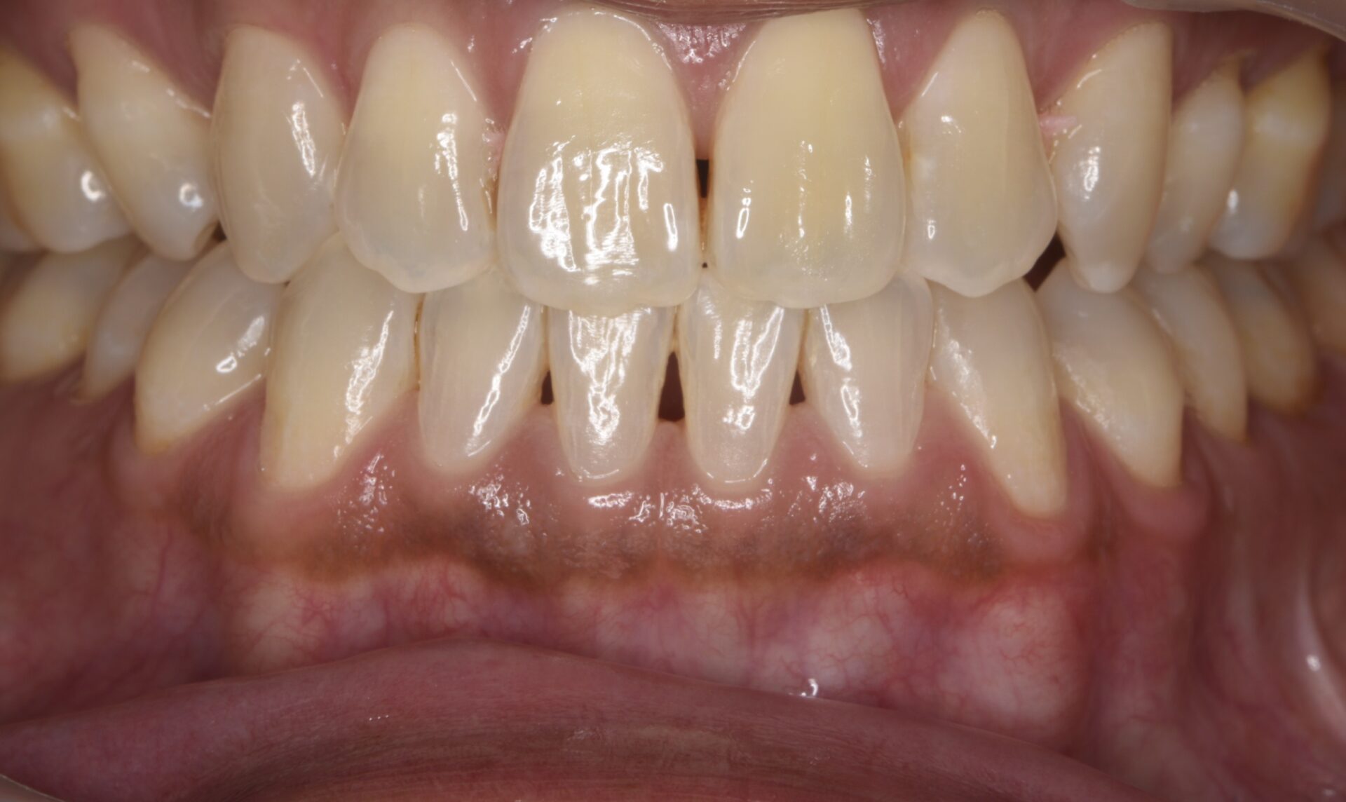
  • 治療前
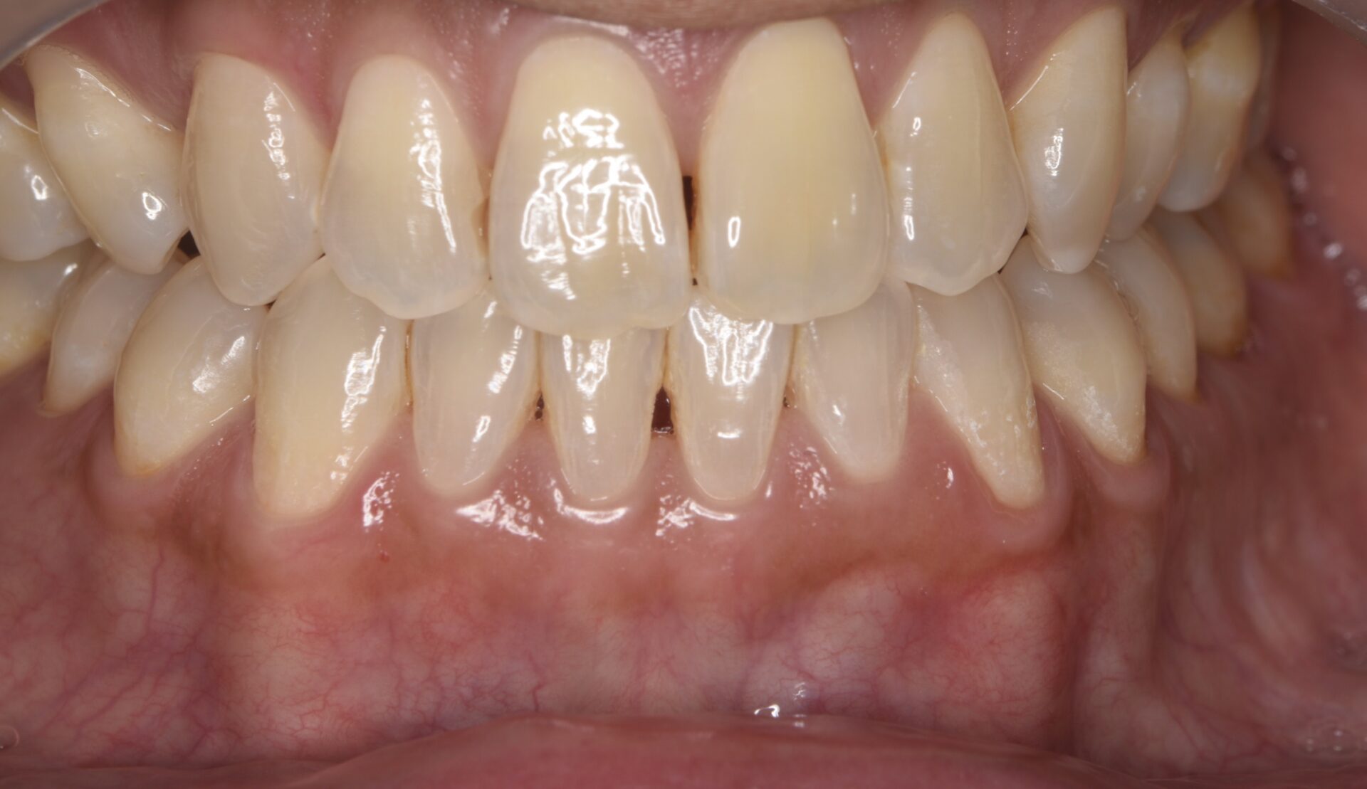
  • 治療後

患者様情報

年代
40代
性別
男性
症状
歯茎がメラニン色素の沈着によって黒く変色している。
過去に20年の喫煙歴あり。(現在は禁煙)
治療期間
2週間
治療回数
1回
治療費用
¥11,000

この治療におけるメリットとデメリット

メリット

  • 歯肉のメラニン色素沈着を除去できる。

  • 一回、短時間(20分程度)の処置で効果が得られる。

  • 少しヒリヒリするが、ほとんど痛みはない。(痛みの感じ方には個人差があります。)

デメリット

  • 術後数日は歯肉が白濁したり、皮がむけたり、火傷をした後のようなヒリつきを感じる。(4~5日で治まります。)

  • メラニン沈着の程度によっては繰り返し処置が必要になることがある。

  • 唇や周囲の組織に薬液が付着することがあり、数日ヒリつくことがある。

  • 喫煙や紫外線などにより、再度メラニン色素の沈着が生じることがある。

  • 被せ物などの金属由来の着色(メタルタトゥー)は適応外となる。

治療方法

色素沈着の範囲を確認し、口唇に保護剤を塗布する。

薬液を塗布し、洗浄する。この工程を二回繰り返した。
歯肉は白濁している。
少しヒリつくが、痛みはないとのことであった。

術後2週間の状態。
歯肉の黒ずみはなくなり、明るいピンク色になった。
患者さんには大変満足して頂けた。

ご予約・お問い合わせ

0466-22-3890