ブログ
Blog
-
講演会に行ってきました
藤沢の歯医者、菅井歯科医院の加藤です。 もっと当医院のこと、歯のことをみなさんに知っていただきたいので、いろんなことを院内ブログに書きたいと思っております。どうかお付き合いください。 昨日の11月8日は、医院長の奈良と勤務医の中谷と共に、株式会社白鵬さんの創業40周年の記念講演に出席してきました。 白鵬さんは、HAインプラントやCAD/CAM(セラミックスのブロックから被せ物を削り出す機械)などを取り扱っています。 また、歯科領域で初めて認可されたβ-TCP(人工骨補填剤)のセラソルブMの輸入販売も行っています。 講演では、製品の特性を活かしたインプラントの抜歯即時埋入などのお話を聞くことができました。 インプラントの抜歯即時埋入は、残せない歯を抜いたその日ににインプラントを入れる治療で、治療期間が短く、早く歯を入れることができる治療です。 講演の後は40周年をお祝いする懇親会に参加しました。 大きな会場で美味しいお料理を頂きながら、楽しい時間を過ごすことができました。 驚いたことに、白鵬さんの社長のご友人として、俳優の岩城滉一さんがお祝いにいらしていました。 一緒に写真を撮らせていただきましたが、私のようなミーハーにもとてもお優しかったです。 帰宅してテレビをつけたら、お会いしたばかりの岩城さんが日本テレビの「エンジェル・ハート」に出演されていて、夢だったのかも、と思ってしまいました。
-
11月8日は「いい歯の日」です
藤沢市の菅井歯科医院 藤沢の加藤です。 11月に入り、だんだん冬が近づいてきましたね。 ところで、タイトルにも書きましたが、11月8日は「いい歯の日」です。 突然ですが、みなさんはご自分のお口に何本の歯があるか知っていますか? 子どもの歯(乳歯)は、上下左右に5本ずつ、計20本あります。 大人の歯(永久歯)は、上下左右に7本ずつ、計28本、親知らずを含めると計32本あります。 親知らずは生えている人、生えていない人、生まれつきない人、と様々です。 あなたのお口はどうでしょうか。 せっかくなので、鏡でお口の中を見てみてください。 詰め物や被せ物はありますか? 抜けたままになっているところはありませんか? 歯茎はどんな色をしているでしょうか。 お話しているとき、笑っているとき、お口の中はどのように見えているでしょうか。 鏡でお化粧や髪型をチェックしても、なかなかお口の中を見ることは少ないかもしれません。 いい歯になるためには、まずはお口を知ってもらうことが大切です。 鏡を見て、気づいたことがあったらぜひ私達に教えてください。 きっとみなさんのお口の健康づくりのお手伝いができると思いますよ。
-
ブタに学ぶ歯周外科
藤沢市の菅井歯科医院 藤沢の加藤です。 先月の初旬になりますが、勤務医の中谷先生と一緒に神奈川歯科大学附属横浜研修センターのセミナーに行ってきました。 このセミナーは実習がメインで、内容はブタの顎を使ったインプラント埋入や遊離歯肉移植術(歯茎下がりなどが生じやすい薄い歯茎を改善するために、丈夫な硬い歯茎を移植する手術)などの歯周外科手術でした。 ブタの顎はヒトに比べてとても大きく、歯茎も骨もたっぷりあるので、外科の実習にはもってこいなのです。 講義を受け、その場で実習することでより理解が深まりました。 中谷先生も熱心に実習していました。 今回使わせてもらったこのブタは鹿児島県産の黒豚だそうで、しゃぶしゃぶや豚骨スープだけではなく、こういった風にも大活躍しています。 勉強させてもらったことをブタさんに感謝して、今後の臨床に活かしていきたいと思います。
-
歯茎が下がったら?
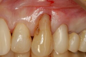
こんにちは。菅井歯科医院 藤沢の中谷です。 先日、神奈川歯科大学付属横浜センターにて結合組織移植術について学んできました。 歯茎が下がる原因としては、噛み合わせや歯の位置、歯ブラシの強さ、くいしばりなど様々です。 そのような原因を除去した上で、下がってしまった歯茎を回復させる方法を結合組織移植を応用した根面被覆術と言います。簡単にいうと、歯茎(歯肉)の再生手術です。 例えば、このように歯茎が下がってしまった患者さん 上あごから歯茎を取り、上あご部分を縫い合わせます 術後3ヶ月です 術前術後です きれいに治り、患者さんも大変満足されました。 すべての症例に施術可能ではありませんが、気になっている方はぜひ一度ご相談ください。
-
日本臨床歯周病学会に参加してきました。
こんにちは。藤沢市の菅井歯科医院藤沢の奈良です。 7月18,19日と仙台で行われました,第33回日本臨床歯周病学会に参加してきました。 学会では著名な臨床家の話を聞くのが毎回の楽しみですが,今回は秋田でご開業されている佐藤直志先生の講演がありました。佐藤先生の著書は世界中で翻訳されていて,非常に高名な先生の一人です。 昨今はパソコンで作製したプレゼンテーションが多い中,佐藤先生はカルーセルでのアナログのスライドショーで,佐藤先生の秋田訛りと合わさってなんだか懐かしい感じのする講演でした。内容は長い臨床経験と豊富な症例から示唆に富んだもので,大変勉強になりました。 学会以外にも,仙台と言えば牛タンということで,発祥の店 味 太助さんにも訪問してきました。 牛タンはもちろんのこと,セットのテールスープも付け合わせの唐辛子の漬け物も,大変美味しかったです。 毎回,レベルの高い臨床歯周病学会ですが,今回も大変勉強になった2日間でした。 今日からの自分の臨床にも生かして,患者さんにより良い医療を提供していきたいと思います。