ブログ
Blog
-
2016 JIADS総会に参加してきました
こんにちは。菅井歯科医院 藤沢の長岡です。 先日、院長の奈良先生と一緒に大阪で開催された、JIADSという勉強会の総会に参加してきました。 私は二回目の参加でしたが、全国から勉強熱心な先生方が大勢参加していました。 丁寧で質の高い症例をたくさん見ることができ、とても勉強になりました。 また、女性歯科医師の働き方をテーマにした発表もあり、多くの女性歯科医師が自分と同じような悩みを持っていることや、お子さんを育てながらもバリバリと仕事をしている先生のお話を聞くことができ、仕事へのモチベーションが高まりました。 発表された先生方です。 今年は私も結婚をし、生活が変わりましたが、歯科医師として患者さんのお口を守っていくことには何も変わりはないと改めて思いました。 本年のブログはこれで最後になりますが、来年もたくさん勉強をし、より良い仕事ができるよう頑張りたいと思います。 よいお年をお迎えください。
-
おやつの時間 ~診療室から考える食育~
こんにちは。藤沢駅から徒歩5分、菅井歯科医院の長岡です。 12月4日(日)に元 岡山大学病院小児歯科講師で、現在 国立モンゴル医科大学歯学部客員教授の岡崎好秀先生の講演会に行ってきました。 岡崎先生は、生命の進化や、時代の移り変わり、現代の社会問題など、さまざまな事柄から子どものお口のことを考えていらっしゃる先生で、興味深いお話をたくさん聞くことができました。 今日はその中のお話をひとつご紹介します。 みんな大好きなおやつ。 お子さんにとって、おやつは大切なエネルギー源ですし、大人だって小腹を満たしたり、気分転換におやつを食べますよね。 みなさんのお家には、「おやつの時間」はありますか? 決まった時間におやつを食べることには三つのメリットがあるんです。 1.虫歯予防になる お口に食べ物が入ると、虫歯菌は栄養をもらって酸を作ります。 この酸は歯を溶かして穴を開け、虫歯を作ります。 しかし、お口も負けてはいられませんので、唾液が時間をかけて酸を薄めてくれます。 でも、だらだらとジュースを飲んだり、おやつを食べていると、唾液が薄めるそばから新しい酸が作られ、唾液の努力もむなしく虫歯になってしまいます。 2.肥満予防になる 決まった時間におやつを用意すると、食べる量を把握することができますが、欲しいときに欲しいだけ食べていると、何をどのくらい食べたのかが把握できず、結果として小児肥満の原因となります。 もちろん、大人も同じです。 3.がまんできる子になる ある歯科医院で、はじめて来院した子どもの保護者に行ったアンケートです。 質問1:治療時にお子さんはどんな態度をとると思いますか? ①上手に治療をうける ②怖がっている ③泣くと思う ④治療困難だと思う 質問2:おやつの与え方は? ①時間を決めて与える ②欲しがる時に与える 無関係に見える二つの質問ですが、おやつの時間を決めている人の多くが、上手にできると答え、欲しがる時に与える人の多くは、泣くと思うと答えました。 欲しがる時におやつを与えていると、泣けば思い通りになる、がまんが苦手、となる傾向にあるそうです。 「時間になったら食べようね」という小さな約束を毎日くり返すことで、ルールを守る、がまんをするトレーニングになります。 「おやつの時間」には、こんなに良いことがたくさんあります。 ぜひ、今日から新しいお家の習慣として取り入れてみてください。
-
オリジナルのマウスガードをお作りします!
こんにちは。菅井歯科医院 藤沢の長岡です。 先週は雪が降り、すっかり冬らしくなってきましたね。 先日、スポーツ用マウスガード専門店のRYMSさんの技工所を見学させていただきました。 RYMSさんは、もともと歯科技工士として歯の被せ物や入れ歯を作っていた店長の内藤雅明さんが、マウスガードの重要性を感じて専門店としてオープンさせたお店です。 今やマウスガードは、ラグビーやボクシングといった使用を義務化されている競技だけでなく、サッカーやバスケットボール、剣道や柔道、ゴルフやサバイバルゲームといった様々なスポーツで使用されています。 ゴルフにマウスガードをするのは意外ですが、マウスガードで顎の位置が安定していると、飛距離が大きく伸びるそうです。 技工所にあった、たくさんの試作品に驚きましたが、すべての人に安全にスポーツを楽しんでもらいたい一心で作り続けていることがわかりました。 当院でも、フルオーダーメイドのマウスガードをお作りしています。 お好きな色やデザインを選んでいただくだけでなく、文字やワンポイントの柄入れも可能です。 イニシャルや座右の銘、チーム名、背番号などをお入れします。 ネイルのようにデコレーションするのもいいですね。 ゴルフやサーフィン、ボルダリングなど、前歯の保護が必要ない競技では、前歯をくりぬいたタイプがおすすめです。 かみしめても歯に負担がかからずに、安全に楽しめます。 目立たないクリアカラーもあります。 詳しくはお問い合わせください。
-
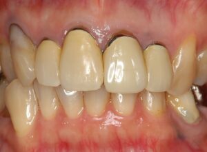
白い被せ物のきわが黒くなっていませんか?
こんにちは。菅井歯科医院 藤沢の長岡です。 突然ですが、前に治した歯やその周りの色味が気になることはありませんか? 具体的には、白い被せ物のきわが黒く見える、とか、被せている歯茎が黒ずんでいる、といったことです。 この患者さんは、被せ物のきわの金属が黒く見えるこを気にして来院されました。 白くてきれいなセラミックスは、力に弱く割れやすいという欠点があります。 そのため、セラミックスの被せ物の内側には芯となる固い下地が必要です。 下地の上にセラミックスを盛り付けしています。 長い間、セラミックスの被せ物の下地に使える材料は金属だけでした。 複雑な加工ができ、成人で60kgといわれる噛む力に耐えられる材料だからです。 白い被せ物の内面が金属になっています。 一方で金属には欠点もあります。 金属は歯の色とかけ離れているため、どうしても被せ物のきわにフレームが黒っぽくのぞきやすいです。 また、常に湿っているお口の中では金属イオンが溶出し、歯茎に黒く沈着したり、体内に取り込まれてアレルギーを引き起こす原因になることもあります。 現在は、材料の開発が進み、金属のかわりにジルコニアという硬いセラミックスを下地に使えるようになりました。 左の白い部分がジルコニアの下地です。 右の金属の下地に比べて明るく見えます。 また、そもそも下地が必要のない、強度の強いセラミックスもつくられました。 これらの材料の登場により、メタルフリーの治療が行われるようになりました。 写真左:先ほどの被せ物を気にされていた患者さんです。 写真右:金属を使わないオールセラミックスクラウンで治療をしました。 歯茎の色まで明るくなっているのがわかります。 昔治療した歯がなんだか見栄えが悪くなったと感じる方、そのお悩みはメタルフリーの材料で改善するかもしれません。
-
矯正治療のコースを受講しました
こんにちは。歯周病専門医がいる歯科医院、菅井歯科医院の長岡です。 10月9、10日の連休に、矯正治療のコースを受講してきました。 このコースは、広島大学名誉教授の丹根一夫先生に、講義と実習を通して矯正治療を学ぶものです。 矯正治療と言えば、歯並びの悪い人が、見た目を気にして治療するイメージが強いかもしれません。 しかし、それだけではなく歯並びが悪いと、虫歯や歯周病のリスクが高くなります。 つまり、見た目の問題だけでなく、歯の寿命に大きく関わってくるんです。 実習は、矯正用の模型を使って行います。 実習の内容によって、手作業で模型の歯並びを作るそうです。 たとえば、出っ歯と受け口では歯並びが全く違いますもんね。 歯一本一本に装置を付けるのは、とても細かい作業です。 治療を進めると、少しずつ歯並びが動いていきますが、実際は何ヶ月もかけて進めていきます。 ちなみに、模型の歯がすべて銀歯なのは白い歯よりも材料費が安いためだそうですが、銀歯だと歯茎まで暗くみえてしまいますね。 やっぱり白い歯がいいな、と思いました。 コースのつづきは来月になるので、きれいな歯並びになるのが楽しみです。