ブログ
Blog
-
「フレイル」をご存じですか?
こんにちは。菅井歯科医院藤沢の加藤です。 先週は摂食嚥下障害についての講演会に参加しました。 摂食嚥下障害とは、病気や老化によって、お食事をするのが難しくなる障害です。(うまく噛めない、飲めないなど) 講演いただいた神奈川歯科大学の飯田先生は私の大学時代の先輩でした。 講演では 「フレイル」という言葉がよく出てきましたが、みなさんはご存じですか? これは、筋力の衰えによって機能が低下してしまうことです。 足が弱って歩けなくなってしまうことなどがそうですね。 フレイルはお口にも関係してきます。 硬いものが食べられないと噛む筋肉が衰え、飲み込む力までなくなってしまいます。 飲み込む力が弱ると、むせやすくなったり、栄養失調になったり、誤嚥性肺炎になったりします。 そしてゆくゆくはお口から食事ができなくなり、胃瘻や経管栄養になってしまいます。 フレイルにならないためには、しっかりと噛めるお口をつくることが重要です。 弱り始めた筋肉にはトレーニングも有効です。 写真は唇にスルメをはさんで文字を書く体操をしているところです。 見かけによらず、なかなか大変です。 スルメを使うのは、美味しくてがんばれるうえに、終わったらよく噛んで食べるのもトレーニングとのことです。 やはり美味しく食べられることが健康の基本だと改めて感じました。
-
学術大会に参加しました
こんにちは。菅井歯科医院藤沢の加藤です。 先日、医院長の奈良先生と一緒に、参加している勉強会のグループの総会・学術大会に行ってきました。 主な内容は 会員の先生方の発表と、お招きした先生の講演でした。 会員発表では、どの先生も素晴らしい治療をなさっていました。 より良い治療ができるよう自分もがんばろう、と意欲が湧きました。 ちなみに、昨年の学術大会では奈良先生も会員発表をしていて、奨励賞を受賞しています。 写真は昨年の受賞の様子です。 特別講演は、スイスからいらしたDr. Sculeanの症例をたくさん見ることができました。 ちなみに、Dr. Sculeanは、エムドゲインを用いた再生療法や、歯ぐき下がりに対する治療(根面被覆術)で有名な先生です。 歯ぐき下がりは年齢に関係なく起こります。 歯ぐきが下がると、冷たいものがしみたり、歯ブラシが当たると痛みを感じたり、見た目が悪くなったりします。 根面被覆術を行うと、下がってしまった歯ぐきの改善ができるだけでなく、再発の起こりにくい丈夫な歯ぐきになります。 こちらの治療例を見ていただくとイメージしやすいと思います。 歯ぐき下がりの気になる方、一度ご相談ください。
-
なんとなく、の歯磨きしていませんか?
こんにちは。藤沢市の歯科医院、菅井歯科医院の加藤です。 いよいよ12月に入り、本格的に寒くなってきましたね。 先日、正しいブラッシングの効果についてブログに書かせていただきました。 今回は間違ったブラッシングについてです。 毎日行うブラッシングですが、間違ったやり方を続けていると、いろいろな問題が起きてしまいます。 こちらの写真は、同じ患者さんの左右の歯を並べた写真です。 よく見比べると、右と左で歯の形が違うのがわかりますか? 向かって右側は歯本来の丸みを帯びていますが、左側は直線的になっています。 実はこれ、歯ブラシで削れてしまっているのです。 この方は、磨きやすいところだけを長く、強くブラッシングする癖がありました。 そして歯ブラシが当てにくいところは全く磨けていませんでした。 その証拠に、反対側(写真右)は歯ブラシが当たっていないので削れていない代わりにプラークが残っています。 全部の歯にブラシを当てるのはもちろんですが、歯ブラシの当て方や力加減は調節しながら磨かなくてはいけません。 なんとなく、歯磨きをしているとこんな落とし穴があるんです。 テレビを見ながら、お風呂に入りながら、「ながら歯磨き」をしている方は特に要注意ですよ。
-
最近読んだ本について
こんにちは。歯周病専門医がいる歯科医院、菅井歯科医院 藤沢の加藤です。 今日は最近読んだ本について書きたいと思います。 『なぜ賢いお金持ちに「デブ」はいないのか』(田口智隆 著) このインパクトのあるタイトル、気になりますよね。 この本は、いわゆる成功者に共通する習慣や考え方について書かれています。 その内容は「お金持ちに共通するビュッフェの食べ方」といった体型に直結しそうなことから、仕事や人づき合いまで多岐に渡ります。 項目のひとつに、「歯のメインテナンスを後回しにしない」というものがありました。 この本のいう「賢いお金持ち」は、虫歯をつくる=借金をつくる、と捉えるそうです。 言われてみるとその通りで、小さな虫歯の治療はすぐに終わりますが、放っておいて大きくなってしまうと、治療は複雑になり負担も大きくなっていきます。 しかも、虫歯は自然に消えてなくなることはありませんので、いかに早く「借金」を返済してしまうか、ということになります。 よく耳にする予防歯科の考えも、借金をつくらないための日々のやりくりだと思ってもらえるといいかもしれません。 とても読みやすくて一気に読めてしまいます。 ご自分の習慣と比べながら読んでみるのもおもしろいかもしれませんよ。
-
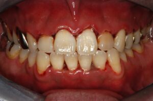
真っ赤に腫れた歯ぐきを治したのは…
藤沢駅から徒歩5分、菅井歯科医院藤沢の加藤です。 当医院では、ほとんど全ての患者さんにブラッシング指導を行っています。 「ではまずは歯磨きのしかたからお話します」 というと、 「歯磨きって習うものなの?」 「面倒くさいから治療だけしてほしいんですけど…」 なんていう声が聞こえることがあります。 たかが歯ブラシ、と思うかもしれませんが、侮ってはいけませんよ。 正しいブラッシングで劇的にお口が変わった方をお見せしますね。 この患者さんは歯ぐきからの出血を気にして来院されました。 歯ぐきは真っ赤に腫れて、歯のきわに血がにじんでいます。 そして強い口臭もありました。 歯ぐきが腫れてしまった原因は、歯の表面に溜まった磨き残し(プラーク)による炎症でした。 でも、この方は決して歯磨きをしていなかった訳ではありません。 正しいブラッシングを知らず、自己流で歯を磨いていたそうです。 お口の状況を説明し、ブラッシング指導を行ったところ、歯ぐきの腫れはみるみる引いていきました。 まだ十分ではありませんが、赤く腫れ上がった歯ぐきは薄ピンク色になり、きゅっと引きしまったのが分かると思います。 出血も口臭も改善されました。 こうなれば出血で見えなかった虫歯もきちんと治療することができますね。 はじめと比べると一目瞭然です。 この方の歯ぐきを治したのは、毎日の正しいブラッシングです。 どうです?歯磨きってちょっとすごいかも、と思っていただけましたでしょうか。 今度は自己流のブラッシングで大変なことが起こってしまったお話をしようと思いますのでまた読んでみてくださいね。