ブログ
Blog
-
脳梗塞と歯周病の関係
こんにちは。歯周病専門医がいる菅井歯科医院 藤沢の長岡です。 今回は脳梗塞についてお話します。 脳の血管が詰まってしまう脳梗塞は一見歯とは関係なさそうですが、実は血管の健康と歯周病は大きく関係しているんです。 歯周病は歯の表面に付いたプラーク(歯垢、菌のかたまり)の中の歯周病菌が毒素を出して歯茎や骨に炎症を起こし、歯周組織を破壊する病気です。 この時、歯茎は上皮や血管がやぶれて傷になっています。 歯周病はいつもそこにプラークが接しているため、血液中にどんどん歯周病菌が侵入しているのです。 歯周病が原因で血管に菌が侵入することを「歯原性菌血症」といいます。 ちなみに歯周病は成人の8割以上が罹患しているといわれています。 自覚症状はなくても歯周組織の破壊や歯原性菌血症は起こっているんです。 血液中に侵入した歯周病菌は、そこでも毒素を出して血管の壁に炎症を起こします。 この炎症によって生じた活性酸素にLDLコレステロール(悪玉コレステロール)が集まり、血管の壁にコブ(アテローム性プラーク)を作り、血管を狭めます。 このコブが血管の壁からはがれ、血流にのって血管内を流れ、どこかに引っかかることで血栓となって血管を詰まらせます。 脳で血栓が生じた場合、脳梗塞やくも膜下出血を引き起こします。 心臓なら心筋梗塞が起こります。 脳梗塞の原因はドロドロの血液、だけではないんです。 歯周病は本当にこわい病気です。 当院では全ての患者さんに歯周病の検査を行っています。 まずはご自身のお口の状態を知ってください。
-
春爛漫
こんにちは。菅井歯科医院藤沢の長岡です。 現在、ビルの外装改修工事を行っていますが、当院は通常通り診療しております。 工事は5月の上旬まで続きますので、お越しの際はお足元などお気をつけ下さいね。 さて、みなさんはお花見をしましたか? 今年は曜日と雨の関係で、先週末にお花見をした方が多いのではないでしょうか。 私も日曜日に桜の名所として有名な目黒川にお花見に行ってきました。 日中は友人のお家でわいわいとお花見をし、夕方からはライトアップされた桜を見ながら川沿いを歩きました。 とても混雑していましたが、満開の桜並木は圧巻で一見の価値がありました。 桜を見ると、春の訪れを感じるとともに、新年度に向けて気持ちが引き締まります。 今週は雨が多いですが、少しでも長く桜を楽しめるといいですよね。
-
ユニフォームが新しくなりました
こんにちは。藤沢の歯科医院、菅井歯科医院の長岡です。 本日からスタッフのユニフォームが新しくなりました。 左が以前のユニフォームで、右が新しいものです。 より明るく、さわやかなカラーリングになりましたよ。 トップスはまさにこれからお花見シーズンの桜のようなピンク色です。 優しい雰囲気で、患者さんにも好評です。 装いも新たに、来週からの新年度に望みたいと思います。
-
なぜ?一本だけの変色歯
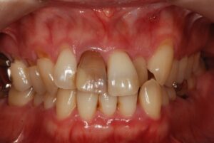
こんにちは。菅井歯科医院藤沢の長岡です。 今日は審美歯科の分野のお話しです。 みなさんはお笑いコンビのハリセンボンの箕輪はるかさんの前歯が一本だけ黒ずんでいたのを覚えていますか? 現在は治療されて白い歯になっていますが、以前はチャームポイントと言ってアピールしていましたよね。 でも、同じような歯の変色を気にしている方は意外と多いんです。 そもそもこのように一本だけの変色が起きるのって不思議ですよね。 実は原因は歯の中にあるんです。 骨の中に骨髄があるように、歯一本一本には歯髄という神経と血管の集まりが入っています。 この歯髄が何らかの刺激(虫歯や外傷など)で壊死してしまうことがあります。 いわゆる「歯の神経が死んでる」という状態です。 ちょっと専門的な話になりますが、壊死した歯髄は、血液の中の鉄分と壊死組織から出る硫化水素が反応して硫化鉄という黒い物質になります。 これが内側から歯にしみこんで変色を引き起こすのです。 ちなみに、歯の神経を抜いて根の治療をした歯もこのような変色をしていることがありますが、多くの場合、根の治療をした後は被せ物をするので気にならないことが多いです。 このような変色歯の治療はいくつかあり、症状やお口の状態によって選択します。 治療法についてはこちらのブログで詳しく書いています。 【治療法は?一本だけの変色歯】 最初の写真の方は、なるべく歯を削らない治療を希望されたので、歯の内側から薬剤でホワイトニングする方法(ウォーキングブリーチ)を選択しました。 周りの歯と比べるとやや濃い目の色ですが、もともと詰めてあった左端の詰め物と同じ色まで回復することができ、患者さんにも大変喜んでいただきました。 もちろん、周りの歯と完全に色を合わせられる治療法もあります。 ぜひご相談くださいね。
-
親知らずは抜くべき?
こんにちは。藤沢の歯医者、菅井歯科医院の加藤改め、長岡です。 私事ですが名字が変わりました。 先日、テレビでモデルの菜々緒さんが、小顔になりたくて親知らずを抜いたら腫れてしまって事務所に怒られたというエピソードをお話していました。 親知らずを抜く、とよく聞きますが、みなさんは親知らずのことをどれくらいご存知ですか? 親知らずは第三大臼歯ともいい、前から数えて8番目にある歯です。 上下左右に4本ありますが、退化傾向のある歯で、生まれつき1本もない人もいます。 親知らずは必ず抜かなければいけないわけではありません。 ただ、その性質上いろいろな問題が起こりやすく、結果として抜歯になることがとても多いのです。 一番の問題は、真っ直ぐ生えてこないことが多いことです。 歯は顎の骨に並んで生えますが、骨格と歯の大きさの関係で、全ての歯が並びきれないことがあります。 親知らずは一番奥に、一番最後に生えてくるので、スペースが足りなくて斜めに生えてきたり、途中で引っかかってしまうことがとても多いのです。 上下とも真っ直ぐ親知らずが生えています。 こちらは親知らずが横の歯に引っかかっています。 中途半端に生えた親知らずは汚れがたまりやすく、菌の温床になります。 親知らずが痛む原因のほとんどが、増殖した菌による歯ぐきの炎症です。 また、ちゃんと生えていなくても菌によって虫歯にもなってしまいます。 左の写真を見ると、親知らずと手前の歯の間が虫歯になっています。 右の写真は、親知らずが引っかかっていた部分が虫歯になり、抜歯になった手前の歯です。 真っ直ぐ生えない親知らずを放っておいたために、隣の歯まで抜歯になってしまうのは本当にもったいないですよね。 なので先々に問題が起こりそうな親知らずは抜くことをお勧めしています。 もちろん、真っ直ぐに生えていてもブラッシングが不十分なら虫歯や歯周病になってしまいますよ。 私自身も口が開けられないほど親知らずが痛んだことがあり、4本すべて抜歯してもらいました。 最初の写真の方のように、全ての親知らずがきれいに並ぶほうがめずらしいくらいで、お願いしてお写真を撮らせていただきました。 親知らずが気になる方はぜひご相談くださいね。