こんにちは。菅井歯科医院 藤沢の北村です。
最近、ネットでホワイトニング材が簡単に購入でき、試す人も多いかと思います。
しかし、ホワイトニングは知識なく自分で行うと大変危険です。
では、どんな事に気を付ければいいのか??
どんな種類のホワイトニングがあるのか??
簡単に紹介させていただきます
★クリーニングとホワイトニングはどう違うのか??
クリーニングは歯の表面の汚れを落とすこと→洗濯のイメージ
ホワイトニングは歯の内側の汚れを落とすこと→漂白のイメージ
★ホワイトニングの種類
ホームホワイトニング
オフィスホワイトニング
この2つがあります!
ホームホワイトニング:マウストレーを用いて自宅行う
・マウストレーを作るための型取りが必要
・自宅で自分の好きな時間に行える(毎日2時間を2週間)
・時間をかけて薬剤を深く浸透させるのでオフィスホワイトニングよりも白さが持続する
オフィスホワイトニング:歯科医院で強い薬を用いて行う
・マウストレーは不要
・一回の来院で完了するので、すぐ白くしたい方におすすめ
・一回の施術時間が90~120分かかる
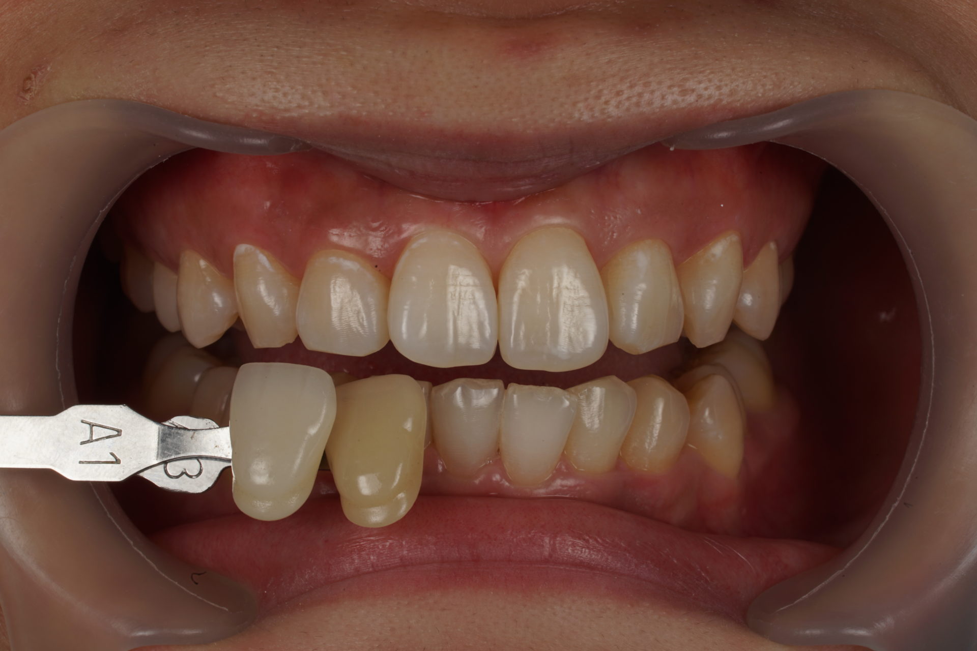
Before(シェード:A3) After(シェード:A1)
写真はオフィスホワイトニング時のものです。
施術前に比べ、施術後は2トーンほど白くなっています。
ホワイトニングした後も日常生活の中で少しずつ着色していくことは避けられません。
そのため、効果を持続するためには定期的なメインテナンスが必要です。
定期的にクリーニングやホワイトニングをすることで表面・内面の汚れを落とし
白くて清潔な歯を保ちましょう
白さを持続させたい方にはオフィスホワイトニングとホームホワイトニングの併用がお勧めです!
★ホワイトニングの注意事項
・ホワイトニングでは元々の歯の白さ以上に白くなりません。
・1歯ごとにホワイトニング効果の差が出ます。
・根の表面・内側の歯質(象牙質)は白くなりません。
・ホワイトニング後24時間以内は色の濃い飲み物・食べ物、酸性の飲み物・食べ物、喫煙はお控えください。
・初期段階で帯状の模様(ホワイトバンド)や白斑が生じる場合があります。
(これはホームホワイトニングを継続して行うことで目立たなくなります。)
・ホワイトニング中や直後に歯がしみたり、歯肉に痛みが出る可能性がありますが
症状のほとんどが一時的なものなのでご安心ください。
・ホワイトニングしていく歯に詰め物がある場合は
ホワイトニング後に白くなった歯に色を合わせて詰めなおす必要があります。
★ホワイトニングができないケース
・無カタラーゼ症の方
・妊娠中・授乳中の女性
・小児(18歳未満)
・歯科治療で用いる材料にアレルギーがある方
★事前に処置が必要なケース
・虫歯がある
・知覚過敏がある
・重篤な歯肉炎・歯周炎がある(歯茎が腫れてる・血が出る など)
・歯の詰め物が破損している
ホワイトニングをしても大丈夫か歯科医院で歯医者さんに診てもらい、
安心・安全にきれいな白い歯を手にいれましょう!
より理解を深めて頂くためにも過去のブログも併せてお読みください

