こんにちは!菅井歯科医院 藤沢の北村です
みなさんは歯が一本だけ黄ばんでいたり、他の歯よりも暗い色をしている歯があるなど
気になったことはありませんか?
今回は歯を1本だけ白くしたいという方におすすめの
ウォーキングブリーチを説明させて頂きます
歯を白くする治療として
ホームホワイトニングやオフィスホワイトニング、セラミックスの被せ物などがありますが、
ウォーキングブリーチは歯の神経が死んで
色調が暗くなっている歯に対するホワイトニングのことです。
歯の神経が死んでしまった原因としては虫歯やぶつけた事があるなどの既往歴が考えられます。
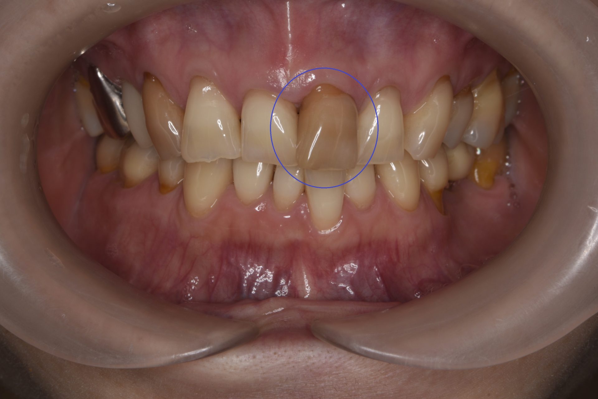
写真の患者さんは〇の歯に痛みがあると来院されました。
審査診断してみると神経が死んでしまっていたので神経を抜く治療をしました。
この時、歯の黄ばみも気になるとの事だったので神経の治療終了後
ウォーキングブリーチもしていきました。
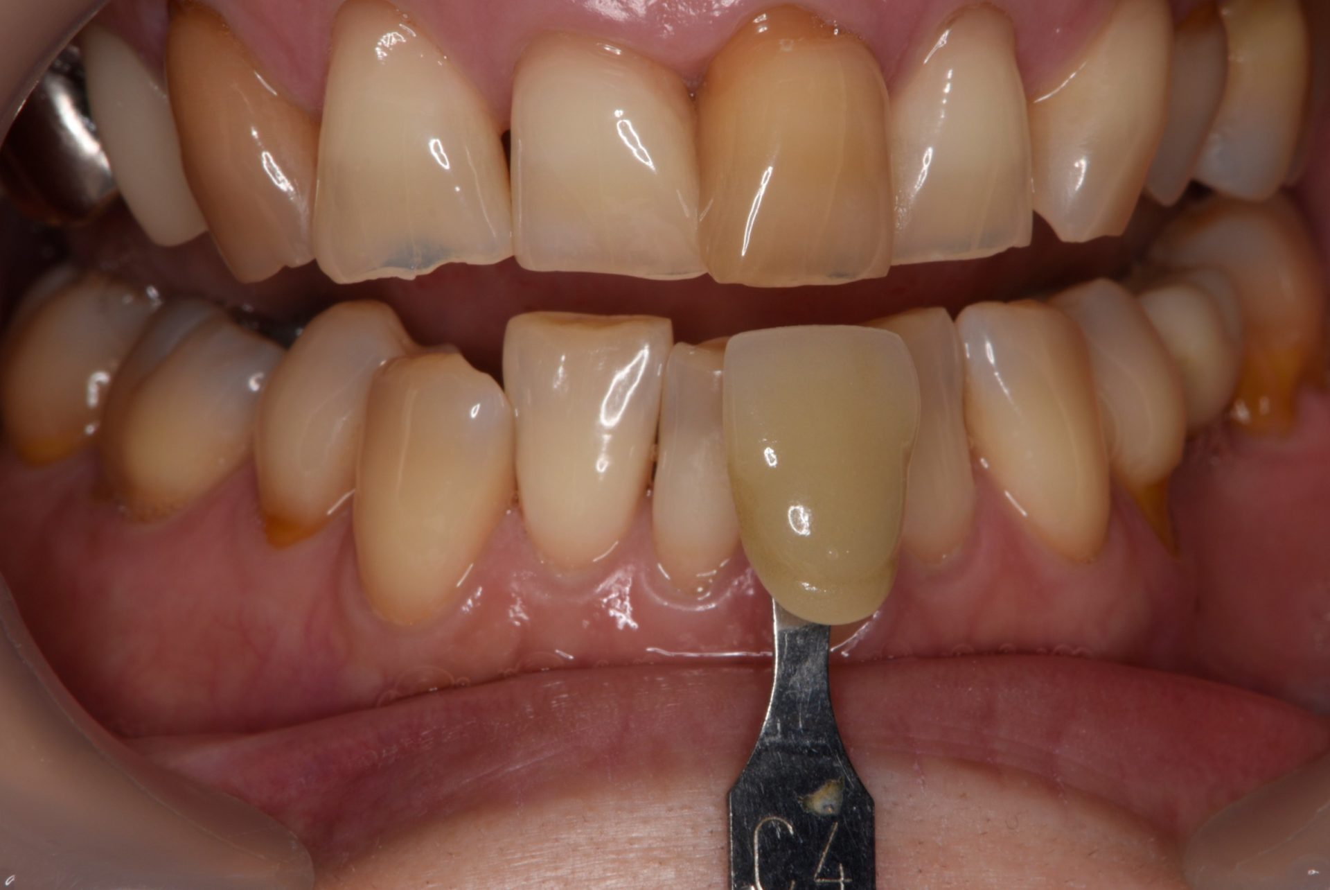
初診時のシェード(色調):C4
これは最も暗い色調です
ウォーキングブリーチ後のシェード:A3.5
周りの歯と比べても気にならなくなりました。
左:A3.5(ウォーキングブリーチ後)
右:C4(初診時)
初診時よりも色調が明るくなっていますね
ウォーキングブリーチの治療の流れ
・歯の神経を抜きます。
・神経を抜いた歯の根っこに最終的な材料を詰て白くしたい部分にお薬を置きます。
・1~2週間ほど時間をあけて、歯の色調変化を確認しながらお薬の交換をしていきます。
・周囲の歯と同じ色調になってきたら、最終的な材料で歯の形を整えて終了です。
歯は神経を抜く際に削りますがセラミックスの被せ物をする場合よりも少ない量なので
歯をあまり削らずに白くしたいという方にもおすすめです。
今回ご紹介したウォーキングブリーチの適応は歯科医院での審査診断が必要です。
治り方にも個人差がありますので
少しでも気になっている歯がありましたら、お近くの歯医者さんで診てもらいましょう!



