ブログ
Blog
-
スポーツ用マウスガード
こんにちは。菅井歯科医院 藤沢の歯科医師の加藤です。 3月半ばになって、やっと寒さも和らいできましたね。 暖かくなるにつれて外出の機会も増えそうです。 最近は年齢問わずにスポーツをされる方が多いですが、それに伴ってスポーツ用のマウスガードをお持ちの方も増えていますね。 マウスガードといえばボクシングのような格闘技のイメージが強いですよね。 でも実を言うと、ほとんどのスポーツにおいてマウスガードの使用が推奨されています。 例えばボールを投げる時、打つ時、狙いを定める時など、集中したり力を込める際には無意識に歯をぐっと食いしばります。 食いしばって歯と歯がこすれ合うと、少しずつ表面がすり減り、冷たいものがしみる知覚過敏症になったり、虫歯ができやすくなってしまうんです。 また、競技中に顔をぶつけてしまうと、歯が折れたり、口の中を切ったりする危険性がありますよね。 マウスガードは弾力があり、クッションのように歯にかかる力や衝撃を緩和してくれます。 お口に合ったマウスガードをつけることで、より安全にスポーツを楽しむことができるんです。 カラーバリエーションも豊富なので、お気に入りのウエアと合わせてもいいですよね。 お気軽にご相談ください。
-
インプラントコースを修了しました
こんにちは。菅井歯科医院 藤沢の歯科医師の加藤です。 先月ブログに書かせていただいた、インプラントコースを無事修了しました。(ブログはこちらです) 今回は、インプラントの2次手術から被せ物を作るまでがメインの講習でした。 インプラントの被せ物を作る際は、ラボアナログというパーツを使って模型を作ります。 下の写真の緑色のパーツがラボアナログです。 人工の歯ぐきの中に、実際のお口の中と同じ位置、角度にインプラントが再現されています。 この模型上で被せ物を作っているんです。 実習ではこのラボアナログを扱いましたが、普段は技工士さんにお願いしている作業なのでとても新鮮でした。 研修の修了証もいただきました。 この講習を通して、ひとつひとつの工程を丁寧に、そして確実に積み重ねて行くことの大切さを再認識することができました。 あたり前のことですが、いつも心に留めておきたいと思います。 2月22日(日)に研修をうけましたが、この日は東京マラソンが開催されましたね。 建物の真下がマラソンコースになっていて、休憩時間の度に見に行ってしまいました。
-
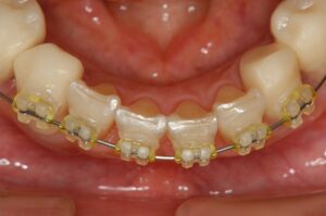
歯科矯正セミナーに参加してきました!
こんにちは。藤沢市の菅井歯科医院の奈良です。 先週末,勤務医の中谷と共に矯正治療の研修会に参加してきました。 矯正治療は子供に行う治療と思っている方も多いようですが,当然,成人にも行うことは可能です。 歯並びが悪いせいで虫歯になったり,歯周病になったり,もしくは歯周病が悪化することで歯並びがわるくなってきたり… 成人の歯科治療に矯正が必要になる場面は実は多いのです。 矯正治療を取り入れることで,患者様のお口の健康により一層貢献できます。 インプラント治療,歯周病治療を行っている患者様にも,矯正治療は可能です。 ご自身の歯並びが気になる方は,担当医またはスタッフにお気軽にご相談ください。
-
ドクターズ・ファイルに掲載されました
藤沢市の菅井歯科医院です。 当院院長の奈良が、病院検索サイトのドクターズ・ファイルにて紹介されました。 歯周病治療についてのインタビューなどが掲載されております。 こちらよりご覧ください。
-
インプラントコースを受講してきました
こんにちは。菅井歯科医院 藤沢の歯科医師の加藤です。 2月11日(日)に、The Japan Institute for Advanced Dental Studiesのインプラントコースを受講してきました。 セミナー会場からは東京タワーが見えました。 とても眺めがきれいでした。 実習では、お口の模型にインプラント体(人工の根っこ)の埋め込みなどを行いました。 インプラントの手術では、写真のように色々な種類のドリルを使い分けています。 知っていることの確認だけでなく、新しく学ぶことも多く、とても有意義なセミナーでした。 来月に行われる続きのセミナーが今から楽しみです。 とてもお天気がよかったので、お昼休みは会場の近くを散策しました。 芝公園の近くの増上寺に行くと、お寺と東京タワーが並んでいて、ふしぎな趣がありました。 長い列ができていてお参りはできませんでしたが、遠くから気持ちだけでも。 今年もたくさん学び、一つでも多くのことを患者さんのお口の健康に生かせるようがんばります。