ブログ
Blog
-
オリジナルデザインのスポーツ用マウスガード
こんにちは。菅井歯科医院 藤沢の長岡です。 今日はスポーツをする際に装着するマウスピース、スポーツ用マウスガードについてです。 現在、スポーツ用マウスガードのオーダーをたくさん頂いています。 夏はスポーツがますます気持ちいい季節ですからね。 こちらはグリーンに黒のアクセントを入れたデザインです。 格闘技とサーフィンをなさる方だったので、どちらの時も使用することをおすすめしました。 マウスガードは、外部からの衝撃からお口を守るだけでなく、集中している時や力を込める時の喰いしばりから歯を守ってくれます。 サーフィンでボードがぶつかって歯が欠けてしまった、ゴルフのドライバーショットの時に喰いしばって歯が折れてしまった、という患者さんもいらっしゃいます。 テニスやサッカー、ジョギングなど、どんなスポーツでもマウスガードはお口を守ってくれます。 奥歯にぐっと力が入るので、全身が安定するのもポイントです。筋トレにもおすすめです。 先日お作りした女性は、もともとの目的だったキックボクシングの時だけでなく、山を走るトレイルランニングの時もスポーツ用マウスガードをお使いいただいているそうです。 ウェアとそろえた白とブルーの爽やかなツートンカラーで、とてもお似合いでした。かっこいいです! (うっかり写真を撮り忘れてしまいました…) こちらは格闘技用にお作りしたマウスガードです。 牙を入れたい、とのご要望でお作りしました。 ご本人の歯の形に似せて、バランスよく配置しました。 口を開けるとインパクトのあるデザインになりました。 どれも患者さんと色やデザインを打ち合わせして、ひとつひとつ作らせていただいています。 詳しくはお問い合わせください。
-
院内勉強会をしました
こんにちは。菅井歯科医院 藤沢の長岡です。 先週の土曜日は鎌倉の本院にて院内勉強会を行いました。 今回はストローマンの機材をお借りして、インプラントのガイデッドサージェリーの実習を行いました。 ガイデッドサージェリーとは、CT画像上で三次元的にインプラントを埋入する位置や角度を決定し、そのデータをもとに作成した3Dガイドを使って行うインプラント手術です。 インプラント手術では、専用のドリルを使って顎の骨に穴を掘り、そこにインプラントを埋入します。 ドリリングは、顎の神経や骨の形態、周りの歯の位置などを考慮して、慎重に進める必要があります。 この時、顎の骨の硬さにばらつきがあると、ドリルが真っ直ぐ進みにくくなり、角度が変わりやすくなります。 そうするとより慎重に処置を進めますので、その分時間もかかってしまいます。 一方、3Dガイドを使用すると、ドリルがぶれることがないので、どんなコンディションの骨であっても、あらかじめ設定した位置、角度、深さにぴったりに穴を掘ることができます。 このガイドに沿って手術をすれば、計画通りの位置に、短時間に安全にインプラントを埋入することができるのです。 実際に模型上でインプラントの埋入を行ってみると、とても安定して、スピーディーに埋入できました。 短時間に安全な治療が行えれば、患者さんへの負担もぐっと軽くなります。 どんどん新しいものが出てくるので、よりよい治療が提供できるよう医院全体で勉強していきたいと思います。
-
歯が長くなった?歯ぐき下がりとは
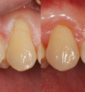
こんにちは。菅井歯科医院 藤沢の長岡です。 今日は「歯ぐき下がり」についてです。 お口の中を見渡して、前より歯ぐきが下がったように感じるところはありませんか? 歯ぐきが下がることで、少し歯が長くなったように見えたりします。 ご相談いただくことも多いですが、気づいてはいてもそのまま、という方がほとんどかもしれません。 しかし、一度下がった歯ぐきが自然に戻ることはありませんし、原因があるかぎり歯ぐきの退縮は進行します。 <歯ぐき下がり(歯肉退縮)の3つの問題> 1.見た目が悪い(審美障害) そこだけ歯が長く見えますし、やせた歯ぐきは不健康な印象を与えることもあります。 2.しみやすい(知覚過敏) 歯ぐきが下がることで、刺激に敏感な歯の根っこの部分(歯根)が露出します。 そのため、冷たいものや歯ブラシを当てた刺激にしみやすくなります。 3.虫歯になりやすい(根面齲蝕/こんめんうしょく) 露出した歯の根っこはとてもデリケートです。 プラークが付いていると簡単に虫歯になります。 このように、歯ぐき下がりはお口のトラブルの引き金になりかねません。 「でも、もう歯ぐきは下がってしまったし…」とあきらめないでください。 下がってしまった歯ぐきも、根面被覆という処置で改善できることがあります。 写真は20代の男性です。歯がしみる、と来院されました。 拝見すると、上の歯ぐきが退縮しており、ここがしみていることがわかりました。 結合組織移植(Connective tissue graft = CTG)による根面被覆を行いました。 歯ぐきの退縮は改善され、しみることもなくなりました。 「こんな治療法があるなんて知らなかった」と、とても喜んでいただいて私もうれしかったのをよく覚えています。 実は気になっていたけどあきらめていた方、改善できるかもしれません。一度ご相談下さい。 他の治療例はこちらです。
-
虫歯になりやすい「三大不潔域」
こんにちは。菅井歯科医院 藤沢の長岡です。 今日は虫歯のできやすい場所についてです。 日々歯の治療をしていると、みなさん大体同じような場所に虫歯ができています。 実は、歯には特に汚れが溜まりやすい、「三大不潔域」という場所があります。 汚れが溜まりやすいということは、虫歯になりやすいということです。 つまり、「三大不潔域」=「虫歯になりやすい場所トップ3」と言えます。 <三大不潔域> 1.奥歯の噛むところにある溝(小窩裂溝) 食べ物を効率よく噛むために、奥歯には山と谷があります。 谷には深い溝があり、ここが汚れの溜まるポイントになっています。 特に第一大臼歯は6歳ころに生えてくるので、子供のうちにうまく磨けず虫歯にしてしまうことが多いです。 2.歯と歯の間(隣接面) 基本的に歯と歯は接触しているので、その間はとても狭い隙間ですよね。 でも、目に見えないほど小さな虫歯菌にはそんな狭さは関係ありません。 歯と歯の間のプラーク(歯垢)は、デンタルフロスや歯間ブラシを使ってきれいにします。 歯ブラシしか使っていない人が本当に多いです。 それだけでは汚れは落とせません。 関連記事 セルフケアをアップデート! 【デンタルフロス】 セルフケアをアップデート! 【歯間ブラシ】 3.歯と歯茎の境目(歯頸部) 歯と歯茎の境目は、歯茎との段差もあって、プラークが溜まりやすいです。 また、歯磨き指導を受けたことがないと、歯の上側の2/3くらいまでしか歯ブラシを当てていないことが多く、みなさん歯磨きが苦手なポイントでもあるんです。 歯と歯茎の境目のプラークは、虫歯だけでなく、歯周病の原因にもなります。 三大不潔域が汚れてしまうのは、もともとの歯の形が関係しています。 でもこの「三大不潔域」がきれいにできていれば、ぐっと虫歯になりにくくなります。 セルフケアを見直したい方、お気軽にご相談下さい。
-
妊娠とお口の関係
こんにちは。菅井歯科医院 藤沢の長岡です。 さて、今日は妊娠とお口の関係についてです。 私はかねてから、特に女性にはなるべく早く歯科検診を受け、必要があれば歯の治療をすることをおすすめしています。 (もちろん、これは老若男女関わらず大事なのですが。) なぜなら、もし今後妊娠した時にお口のトラブルが起こるとなかなか厄介だからです。 その理由は三つあります。 <妊婦さんの3つのお口の「困った」> ①飲める薬が圧倒的に少ない 痛みのある大きな虫歯や歯茎の腫れ、親知らずの炎症など、歯科治療ではお薬を出すことが多々あります。 しかし妊娠中や授乳中だと、お母さんが飲んだお薬が赤ちゃんに影響する可能性があるため、飲めるお薬が制限されてしまします。 特に13週まではこの傾向が強く、激痛があるのにお薬を出せない、なんてことになりかねません。 ②妊婦特有の症状がでる 「妊娠関連歯肉炎」という歯茎の炎症を起こすことがあります。 これは、妊娠によるホルモンの影響で、歯肉に炎症が強くみられるもので、より丁寧なプラークコントロールが必要になります。 他にも、悪阻でお口が触れなかったり、大きなお腹のために仰向けで治療ができなくなるなど、様々な影響がでることがあります。 ③お口の病気が赤ちゃんに影響を与える 実は、歯周病と早産・低体重児の出産には大きな関わりがあります。 お母さんが中等度以上の歯周病だと、早産のリスクが高いといわれているんです。 これは、歯周病菌と体の免疫が戦う時に出されるサイトカインという物質が刺激を与えるためと考えられています。 また、赤ちゃんは生まれてから3歳くらいの間にお口の中に常在菌(ヒトの体に存在する、様々な種類の菌。)が定着しますが、お母さんに虫歯菌や歯周病菌がたくさんあると、その子どもも同じように虫歯菌や歯周病菌の多いお口になってしまいます。 (常在菌は他の人からももらいますが、一般的に接触時間の長い母親の影響を強く受けます。) こんな風に、妊娠とお口にはたくさんの関係があり、影響しあっています。 ですから、妊娠中にお口のトラブルが起こらないように、早めに歯科検診を受けましょう。 ちなみに、安定期であれば歯科治療を受けることも可能です。 もちろん症状にもよりますので、一度ご相談ください。