ブログ
Blog
-
歯が悪くなるのは年齢のせい?
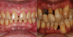
こんにちは。菅井歯科医院藤沢の長岡です。 東京では本日桜の開花となりましたね。 先月、伊豆の河津桜を見てきましたが、藤沢でも早く桜が見たいです。 患者さんとお話しているとよく聞こえてくる言葉があります。 「歯が悪くなったのは年を取ったせいですね」 昔はお口に気になるところなんてなかった。 でも、年を取るにつれて不具合が出てきて、歯科医院に来てみたら虫歯、歯周病になっていた… 確かにそう思われる気持ちがよくわかります。 しかし、必ずしも「年を取る=歯が悪くなる」ではありません! 二枚の写真を見比べてみてください。 一枚目の写真は、ピンク色に引き締まった歯ぐきにきれいな歯が並んでいます。 二枚目の写真は、赤黒くやせた歯ぐきに今にも抜けてしまいそうな歯が辛うじて残っています。 誰が見ても一枚目の写真の方が健康なお口だとわかりますね。 どちらも男性ですが、一枚目の方は82歳、二枚目の方は46歳です。 健康なお口の82歳の方は、十年以上ずっと当院の定期検診にいらしており、とても丁寧に口腔ケアをなさっています。 二枚目の写真の46歳の方は、「悪くなってるのはわかってるんだけどね~」とはいうものの、歯磨きどころか、うがいもせずに歯科医院に来ているのは明らかです。 こんな状態でも、お口のことに無関心で、痛みが治まったとたんに来なくなってしまいました。 このお二人はそれぞれどんな人生を歩んできたのだろう、とつい考えてしまいます。 お口の中にも加齢変化は起こります。 だからといって、それが必ず歯を失う原因になるわけではありません。 年齢を重ねるごとに歯が悪くなったように感じるのは、若いころから少しづつ進んでいた病気(虫歯や歯周病)が大きくなって目立ち始めたことがほとんどです。 どんな物も、大切にお手入れをして使えば長持ちしますよね。 反対に、無関心でお手入れをしなければ年齢が若くてもお口は病気になります。 すでに虫歯や歯周病になってしまっても、改善させることは可能です。 ぜひ、ご自分の歯を大切にしてお口の健康をあきらめないで下さい。
-
歯周病の治療とは?
こんにちは。 藤沢駅北口徒歩5分、菅井歯科医院 藤沢の長岡です。 さて、このブログをご覧になっている方は歯周病について調べていらっしゃる人が多いかもしれません。 歯医者さんに歯周病を指摘された… お口に不調を感じて、色々と調べてみたら歯周病かも… 歯周病、治したいけど一体どんな治療をするのでしょう。 前回、歯周病は火事に似ているというブログを書きました。 今日は同じ視点で歯周病の治療についてです。 (歯周病がどんな病気かはこちらをご参照ください。) <歯周病治療の基本は3つ> 歯周病治療は大きく3つのステップで行います。 1、原因をとる 2、環境の改善 3、お手入れ この3つは歯周病の重症度に関わらず同じです。 では、ひとつずつ見ていきましょう。 1、原因をとる まずは歯周病の原因となっているものを取り除きます。 火事で言うならば“火を消す、燃え広がらないようにする”ことです。 火、そのものである、「プラークをとる」。 歯周病を悪化させる「悪いかみ合わせをとる」。 歯ぎしり、食いしばり、頬づえなどの「悪い癖をとる」。などです。 「とる」というと「歯を抜く」と思われるかもしれませんが、必ずしも歯を抜くわけではありません。 しかし、重度の歯周病で手のほどこしようがなく、周りの歯に感染を広めてしまうような歯の場合は「歯をとる」こともあります。 2、環境の改善 火が消えたら、“火事に強い街作り”をします。 燃えやすいものは置かず、消防車がどこにでも行きやすい街にします。 家も燃えにくい材料で建てるのが良さそうですね。 具体的には プラークの溜まりやすい所をなくす。 プラークの付きにくい材料を使う。 力のバランスが取れるように歯の数をそろえる。 お掃除がしやすいようにする。 といったことです。 3、お手入れ 最後は“毎日の火の用心”です。 “火の後始末をきちんとする” プラークは毎日作られます。毎日の歯磨きできちんと落としましょう。 “街の見回りをおこなう” 定期的に歯科検診を受け、異常がないか調べてもらいましょう。 プラークが溜まり始めていたら、プロフェッショナルクリーニングできれいにしてもらえます。 どうでしょう歯周病の治療がどんなものか、少しイメージできましたか? 歯周病を治すためには、患者さんと歯科医院が力を合わせなければいけません。 一緒にがんばって、健康なお口を作りましょう。
-
火の用心!歯周病は火事と同じ
こんにちは。菅井歯科医院 藤沢の長岡です。 空気が乾燥して火の取り扱いには注意が必要な季節ですね。 実は歯周病と火事はよく似ています。 <虫歯があるのにお掃除?> 当院では基本的に、虫歯があっても強い痛みなどの急を要する症状がない場合はまず、歯周病の検査をします。 さらに必要に応じてブラッシング指導や歯石取りといったお掃除をかなりじっくりと行っていきます。 虫歯なのに治療しないでお掃除?と思われるかもしれません。 でも、この順序が重要なんです。 <プラークは “火”> 歯の表面についた白い磨き残しをプラーク(歯垢)といいます。 このプラーク=火、です。 歯の周りにまとわり付き、虫歯を作ったり、歯ぐきや歯を支える骨を壊していきます。 そして、プラークがお口全体に広がり、歯周病になったお口=火事、です。 さて、火事で家が燃えている時に、大工さんに家を建て直してもらうでしょうか。 まずは消防士さんに火を消してもらいますよね。 つまり、プラークだらけのお口に虫歯の治療をするのは、燃え盛る家に建て直しをするようなものです。 必ず虫歯がぶり返しますし、そもそもの歯が抜けてしまうかもしれません。 まずはお掃除で火を消して、それから治療をします。 そして、みなさんには毎日の歯磨きで火の用心をお願いします。
-
ご存じですか?口臭は〇〇のニオイ!
こんにちは。菅井歯科医院藤沢の長岡です。 今日はお口の気になる症状の一つ、口臭についてです。 (歯周病の主な症状 歯ぐきからの出血について はこちら) とっても気になるのに自分ではなかなか気づけない口臭。 ひとえに口臭といっても原因はさまざまで、食事によるもの(にんにくなど)や内臓疾患、ストレスや口腔乾燥症など多岐にわたります。 そのなかでも一番の原因であり、一番ケアしやすいのが、プラークによる口臭です。 プラークとは、歯の表面に付着・増殖した細菌の塊で、歯垢ともいいます。 <プラークによる口臭は〇〇のニオイ> プラーク中の細菌は、主に以下の三つの悪臭物質を生成します。 ・硫化水素 プラークが生成する悪臭成分の大部分を占めています。 温泉地などで感じる、卵が腐ったような臭いです。 下水処理場やごみ処理場でも検出されます。 ・ジメチルサルファイド(ジメチルスルフィド) キャベツが腐った臭いといわれています。 海苔の香り成分でもあり、海で感じる「潮臭さ」の元でもあります。 ・メチルメルカプタン(メタンチオール) たまねぎの腐った臭いと表現される悪臭物質です。 動物の排泄物から放出され、おならの臭いの原因です。 どうでしょう。いかにも臭そうなものばかりですよね…。 こんな臭いを周りに振りまいていたら…と思うとゾッとしちゃいますね。 でも、ご安心ください。 <自分で口臭の原因を除去できます!> 疾患やストレスによる口臭と違い、プラークによる口臭のケアはシンプルです。 それは、プラークを落とすこと。 いくら香りでごまかしても、根本的な原因が取れていなければ意味がありません。 正しく歯ブラシ、歯間ブラシ、デンタルフロスを使ってプラークコントロールを行えば、口臭の原因となるプラークを落とすことができます。 以前、歯磨き指導をした患者さんが初めてデンタルフロスを使った時に、 「奥歯の歯と歯の間からとんでもない臭いのかたまりが出てきた!!」 とおっしゃいました。 ずっとたまりっぱなしだったプラークがデンタルフロスで取り除けた証拠です。 それ以来、その患者さんは毎日欠かさずデンタルフロスを使うようになりました。 プラークのもととなる細菌はすべての人のお口に存在します。 プラークのたまりやすさや付く場所は、歯磨きの癖だったり、歯並び、歯を治療した材料の素材や形によって人それぞれ違います。 一度歯科医院で相談してみましょう。 お口にあったプラークコントロールのコツをお教えしますよ。
-
歯ぐきの出血は危険サイン
こんにちは。藤沢駅から徒歩5分の菅井歯科医院の長岡です。 最近は寒さが一層厳しくなってきましたね。 突然ですが、みなさんは歯周病と聞いてどんなお口を想像しますか? ・歯ぐきから血が出る ・口臭が強い ・歯がぐらぐらする ・歯が抜ける はみがき粉のコマーシャルなどでおなじみの、こんな症状をイメージする方が多いと思います。 歯周病になると、どうしてこれらの症状が出るのでしょう。 今日はそのひとつ、歯ぐきの出血についてお話します。 <歯ぐきの出血は自分で気づける危険サイン> 歯ぐきの出血は、軽度~重度の歯周病でみられる症状です。 血が出ているというのは、歯ぐきの周りで歯周病菌が炎症を起こし、まさに今、歯ぐきを壊している状態です。 歯周病の症状の多くは、重度になるまでほとんど自覚することはありません。 しかし歯ぐきの出血は、初期の歯周病でもよく観察すれば自分で気づける数少ない症状です。 はみがきをした後、デンタルフロスや歯間ブラシを当てた後、血がついていることはありませんか? よく見てみましょう。 ただし喫煙者は例外で、血行障害が起こっていることが多いため、歯周病が重度に進行しても出血がみられない場合があります。 一度歯周病の検査を受けてみましょう。