ブログ
Blog
-
ホワイトニングとは
こんにちは。菅井歯科医院 藤沢の北村です。 最近、ネットでホワイトニング材が簡単に購入でき、試す人も多いかと思います。 しかし、ホワイトニングは知識なく自分で行うと大変危険です。 では、どんな事に気を付ければいいのか?? どんな種類のホワイトニングがあるのか?? 簡単に紹介させていただきます ★クリーニングとホワイトニングはどう違うのか?? クリーニングは歯の表面の汚れを落とすこと→洗濯のイメージ ホワイトニングは歯の内側の汚れを落とすこと→漂白のイメージ ★ホワイトニングの種類 ホームホワイトニング オフィスホワイトニング この2つがあります! ホームホワイトニング:マウストレーを用いて自宅行う ・マウストレーを作るための型取りが必要 ・自宅で自分の好きな時間に行える(毎日2時間を2週間) ・時間をかけて薬剤を深く浸透させるのでオフィスホワイトニングよりも白さが持続する オフィスホワイトニング:歯科医院で強い薬を用いて行う ・マウストレーは不要 ・一回の来院で完了するので、すぐ白くしたい方におすすめ ・一回の施術時間が90~120分かかる Before(シェード:A3) After(シェード:A1) 写真はオフィスホワイトニング時のものです。 施術前に比べ、施術後は2トーンほど白くなっています。 ホワイトニングした後も日常生活の中で少しずつ着色していくことは避けられません。 そのため、効果を持続するためには定期的なメインテナンスが必要です。 定期的にクリーニングやホワイトニングをすることで表面・内面の汚れを落とし 白くて清潔な歯を保ちましょう 白さを持続させたい方にはオフィスホワイトニングとホームホワイトニングの併用がお勧めです! ★ホワイトニングの注意事項 ・ホワイトニングでは元々の歯の白さ以上に白くなりません。 ・1歯ごとにホワイトニング効果の差が出ます。 ・根の表面・内側の歯質(象牙質)は白くなりません。 ・ホワイトニング後24時間以内は色の濃い飲み物・食べ物、酸性の飲み物・食べ物、喫煙はお控えください。 ・初期段階で帯状の模様(ホワイトバンド)や白斑が生じる場合があります。 (これはホームホワイトニングを継続して行うことで目立たなくなります。) ・ホワイトニング中や直後に歯がしみたり、歯肉に痛みが出る可能性がありますが 症状のほとんどが一時的なものなのでご安心ください。 ・ホワイトニングしていく歯に詰め物がある場合は ホワイトニング後に白くなった歯に色を合わせて詰めなおす必要があります。 ★ホワイトニングができないケース ・無カタラーゼ症の方 ・妊娠中・授乳中の女性 ・小児(18歳未満) ・歯科治療で用いる材料にアレルギーがある方 ★事前に処置が必要なケース ・虫歯がある ・知覚過敏がある ・重篤な歯肉炎・歯周炎がある(歯茎が腫れてる・血が出る など) ・歯の詰め物が破損している ホワイトニングをしても大丈夫か歯科医院で歯医者さんに診てもらい、 安心・安全にきれいな白い歯を手にいれましょう! より理解を深めて頂くためにも過去のブログも併せてお読みください ホワイトニングで口元を明るく! なぜ?一本だけの変色歯
-
歯みがきのために手術?遊離歯肉移植術
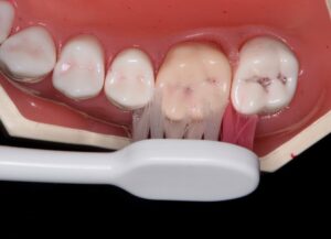
こんにちは。菅井歯科医院 藤沢の長岡です。 最近は暑い日が続きますね さて、今日はお口の環境改善のための治療を一例ご紹介します。 そもそも、「お口の環境改善」とは何でしょう。 まずはこちらの写真をご覧ください。 この方は50代の女性です。 二本の歯に、茶色い点状の虫歯があります。 この二本だけに同じような虫歯ができていますね。 実はこの二本の歯だけ、はえぎわの歯茎が柔らかい粘膜になっています。 本来、歯のはえぎわの歯茎は、硬くて強い角化した歯肉です。これを角化歯肉といいます。 角化歯肉は炎症や刺激に強く、歯周病のリスクを軽減します。 しかし、はえぎわの歯茎が柔らかい粘膜だと炎症に弱く、表面の炎症(歯肉炎)が骨に到達する深い炎症(歯周炎)に進みやすくなります。 また、柔らかい粘膜は刺激に弱いので、歯ブラシを当てると痛みを感じます。 上から見た写真です。 柔らかい粘膜がせり上がり、歯の側面に乗ってしまっています。 こんな粘膜と歯の間にはプラークがたまりやすくなります。 ここはちょうど虫歯ができていたところですよね。 この患者さんは、特別歯みがきが苦手なわけではないのですが、 歯の周りに角化歯肉がなく 粘膜のため歯ブラシがしっかり当てられず プラークがたまりやすい環境 だったのです。 虫歯の治療だけをしても、このままでは必ず再発します。 ですので、「お口の環境改善」を行いました。 具体的には、 歯の周囲の柔らかい粘膜の部分を、角化歯肉にします。 「遊離歯肉移植術」という手術を行いました。 角化歯肉がたくさんある上あごから歯肉を移植します。 移植した角化歯肉が、糸で縫い留めてあります。 治療後二年経過した状態です。 歯の周りに、薄ピンク色の硬い角化歯肉ができています。 もう歯に歯茎が乗ってくることもなく、しっかりと歯ブラシが当てられるようになりました。 治療費は80,000円(税別)でした。 治療前後の比較です。 歯茎下がりも少し改善されました。 こんな風に一見虫歯とは関係なさそうな「お口の環境改善」ですが、きちんと行うことで、歯の健康をぐっと長持ちさせることができます。 つい、治療の終わりがゴールと考えてしまいますが、実はそこがスタートです。 治療が終わった健康な状態をいかに長持ちさせるかを大切に考えています。 お困りごとなどありましたら、何でもご相談下さいね。
-
歯間ブラシ、フロス、糸ようじの選び方
こんにちは!菅井歯科医院 藤沢の北村です。 今回は補助器具(歯間ブラシ、フロス、糸ようじ)についてご説明させていただきます。 補助器具の主な役割としては 歯ブラシだけでは磨き残しやすい歯と歯の間の部分、歯と歯茎の境目にある溝のお掃除です。 補助器具には、色々な種類やサイズがあります。 サイズが合ってないものを選んでしまうと歯茎を傷つけてしまったり 時間をかけてお掃除していただいても歯茎の炎症がなかなか治らない場合があります。 効率よくお口の中をお掃除していただくためにも 自分にはどのような器具やサイズが合っているのか確認していきましょう 歯間ブラシ DENT.EX 歯間ブラシ ★おすすめ 歯と歯の間の隙間が広い人 ブリッジ(繋がっている被せ物)が入っている人 ワイヤーの歯科矯正をしている人 写真の歯間ブラシのサイズは4S~LLまであります。(左から4S~LL) 歯と歯との間の隙間が狭い人は小さいサイズ 隙間が広い人は大きいサイズを目安に選びます。 ※歯間ブラシのサイズやサイズのカラーはメーカーによってバラバラです。 フロス 左:REACH デンタルフロス(ワックスあり) 右:ruscello フロス(ワックスなし) ★おすすめ 歯と歯の間の隙間が狭い人 歯間ブラシが通しにくい人 フロスにはワックスありとワックスなしの2種類があります。 ・ワックスあり 歯と歯の間に入りやすい 被せ物、詰め物をしている歯が多い人におすすめ ・ワックスなし 繊維によるプラークの除去率がワックスタイプよりも高い 糸ようじ DENT.EX ウルトラフロス ★おすすめ フロスがうまく指にまけない人 フロスを指に巻いて使用すると奥歯などに通しにくい場合 糸ようじにはフロス部分が普通タイプと細いタイプの2種類があります。 ・普通タイプ 1番スタンダードなものです! ・細いタイプ 歯と歯の間の隙間が狭くて普通タイプが入らない人におすすめ 歯茎に炎症があると使い始めに出血が見られますが 使用し続けることで腫れは治まり出血は減少してきます。 また、使用し続けることにより歯と歯の隙間が大きく見えたりすることがありますが 歯茎の炎症がとれ、歯茎が引き締まった状態なので心配ありません。 歯科検診の際、歯医者さんにご自分のお口の状態にあった補助器具を選んでもらいましょう 歯ブラシや補助器具の使い方はこちらで紹介していますので、ご覧ください。 歯磨きは歯ブラシだけで良いの?
-
自分に合った歯ブラシの選び方
こんにちは!菅井歯科医院 藤沢の北村です。 今回は、自分に合った歯ブラシの選び方について ①ヘッド、毛の性質(形状、材質、硬さ) ②ネック ③ハンドル 3つに分けて説明させていただきます! ① 左:BUTLER #233 中央:picella 左:タンデックス(ワンタフトブラシ) 〈ヘッド〉 小さい(中央・右):細かい部分に当てやすい(2cm以下が目安) ★おすすめの方 歯並びが悪い 嘔吐反射がある 妊娠中でつわりのある 奥歯にブラシを入れると痛い 大きい(左):全体的にざっくり当てられる ★おすすめの方 手が上手く動かせない 高齢者の方 〈毛の形状〉 赤:ギザギザ(直線段切り型):歯と歯の間の歯の表面に当てやすい 緑:フラット(直線並行型):被せ物をしている歯に当てやすい 〈毛先の形状〉 左:GVK 右:PRO FOUR ラウンド毛(左):毛の先端が丸い 歯の表面に当たる面積が大きいのでプラークの量が多い人におすすめです テーパード(右):毛の先端が細い 歯周ポケットに入りやすいので歯茎が腫れていたり、出血があるひとにおすすめです 〈毛の材質〉 ナイロン (今の歯ブラシの主流) 耐久性が高い 飽和ポリエステル樹脂(PBT) (近年注目されている素材) ナイロンより耐久性が高い ナイロンより毛の劣化が遅い 乾きやすいので細菌が増殖しにくい 動物の天然素材(豚・馬) やわらかいので歯肉へのダメージが少ない (豚より馬のほうがやわらかい) ※プラークの除去率はナイロンやポリエステルよりは落ちる 〈毛の硬さ〉 かため ★おすすめの方 歯の表面にプラークの量が多い人 唾液(つば)分泌量が少ない人・口呼吸でプラークが硬くなりやすい人 ※ブラッシング圧の強い人は歯茎を傷つけやすいので注意が必要です ふつう ★一般的にお勧めのかたさです! やわらかい ★おすすめの方 歯茎に炎症がある人 ブラッシング圧が強い人 乳幼児、高齢者の方 ※プラーク落ちにくいので時間をかけて磨いて下さい ふつうの硬さよりも毛先が広がりやすいので交換時期が早いです ② 〈ネック〉 左:GVK 右:picella ストレートネック(左):歯の表面に垂直に当たって効率よくプラークの除去ができます カーブネック(右):ブラッシング圧の強い人には力の緩和が期待できます ③ 〈ハンドル〉 左:Grappo 右:picella(普通の太さ) 太いハンドル(左) ★おすすめの方 手先が不自由 握力が弱くてうまく歯ブラシを握れない人 パームグリップで軽く握ってください(わし掴み) 普通の太さのハンドル(右) 1番ベーシックな太さ! ペングリップで軽く握ってください(ペンを握るように) このように歯ブラシ1本とっても色々な種類や用途があります。 是非、上記の項目を参考に自分に合う歯ブラシを見つけてみてください
-
歯磨きは歯ブラシだけで良いの?
こんにちは菅井歯科医院 藤沢の北村です。 今回は歯ブラシや補助器具(フロス、歯間ブラシ)の使い方について説明させていただきます。 歯磨きの仕方を確認する際、多くの患者様から 歯磨きは歯ブラシだけで良いの? という質問をいただきます。 答えはNOです! 歯ブラシだけではお口全体の約60%しか磨けないと言われています。 お口の中を100%近く磨くためには 補助器具(フロス、歯間ブラシ)を併用していただくのが効果的です。 歯ブラシとフロスでは約80% 歯ブラシと歯間ブラシでは約90% このように、歯ブラシと補助器具を合わせることにより 100%近くまで磨けると言われています。 まずは歯ブラシの当て方(磨き方)を確認しましょう! 磨き方にはいくつか方法がありますが 歯茎の中のプラーク除去が積極的に行える<バス法>をご説明します。 右:歯ブラシの毛先を歯茎に向け、歯の表面に対して約45度に当てます。 内側の毛先は歯の表面に、外側の毛先は歯茎の中の歯の表面に当てるのがポイントです。 左:矢印の方向に細かく振動させ 毛先が歯間部(歯と歯の間)に入るくらいの力を目安にして下さい。 次にフロスの使い方について 左:歯間部に入れ、歯の形に沿わせながら矢印の方向に5回以上動かします。 右:上下にも5回以上動かして、歯茎の中までフロスを入れます。(痛くない程度の力で) 上記の入れ方は歯茎の中のプラークを除去することが可能です。 最後に歯間ブラシの使い方について 右:外側から歯間部の隙間に入れ、歯の形に沿わせながら矢印の方向に5回以上動かします。 左:先端を歯茎と反対方向に向けると歯茎を傷つけずに歯間ブラシを入れることができます。 右:歯間部の食べかすを取るだけではなく 隣り合った歯の表面の汚れを落とすイメージで動かしてみてください。 左:歯に対して歯間ブラシを垂直に入れ、内側からも同じようにお掃除していきます。 フロスも歯間ブラシも必ず1日1回は使ってください 最初は上手に使えない方がほとんどですが 鏡で確認したり時間をかけてやっていただくだけで 使い方のコツは徐々に身についてきます。 お家にいる時間が長い今、ぜひ試してみてください 過去のブログと一緒に読むとより理解が深まると思いますので是非読んでみてください! セルフケアをアップデート! 【歯間ブラシ】 セルフケアをアップデート 【デンタルフロス】 次回はそれぞれのお口にあった歯ブラシや補助器具の選び方について紹介させていただきます。